Дневники

Этот долгожданный день установки!!!

Ура, теперь и я тоже брекетоносец!!!! Путь предстоит трудный, но оно того стоит!!!

img_4090.jpg

22.11.2012 - 20:12

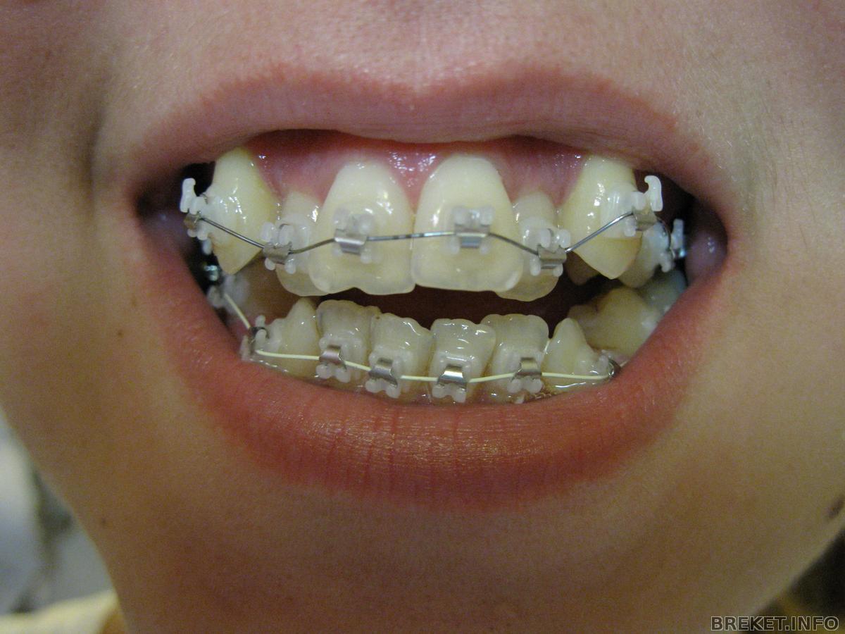
7 месяцев

промежуток от удалённой 4-ки с одной стороны закрылся..с другой стороны ещё мм 2 - 3 осталось..они прям на глазах закрываются от эластичной цепочки..дуга уже третья по счёту стоит..кажись 22/25..приёмы жутко болезненные!

bez_va.jpg

rp.jpg

rpa.jpg

22.11.2012 - 19:28

Сомнения

После очередного приема пребываю в сомнениях. Врач сказала, что у меня последняя дуга, которая хоть что-то может сделать существенное. Через месяц (в конце декабря) прием, где будет замена на последнюю, которая ровняет корни и окончательно закрепит результат. Она будет стоять долго, около 3-х месяцев... и снять ВЧ обещают к апрелю... ХОТЯ В НАЧАЛЕ ЛЕЧЕНИЯ снять хотели только в декабре 2013...
А вот если результат меня не устроит? А дуг уже все, какие можно, уже отработали? Читать далее »

22.11.2012 - 19:24

Забрела наконец-то

Наконец-то я пишу запись, прошло с установки ВЧ 5 месяцев, НЧ пару недель.
Да, да - так и получилось, что поставила я поздно, то сессия, то еще чего, то денег уже нет)
Но ничего страшного, зубы двигаются хорошо, тьфу тьфу тьфу

Сразу выложу фото и попутно буду рассказывать что к чему. Читать далее »

День 2 - фото

Как и обещал - пара фото, времени делать другие пока нет=)


День 2

Еще одно маленькое приветствие в рабочий перерыв...

Основные выводы за сегодня:
1. Начал утро с чистки зубов, но на 2 минуте понял, что после еды снова придется чистить... Обычно полоскаю...
Так что бросил щетку и побежал кушать, после чего почистил зубки...
Жду совета о правильности тактики?

2. Зубы стали болеть при сильном смыкании (особенно боковые)... Впринципе не критично, но жесткий кусок мяса есть тяжеловато... Надеюсь через недельку пройдет. Читать далее »

зуб 2-ку развернуло

ПОсле снятия брекетов зуб 2-ку развернуло. (он и раньше кривовато стоял, и я обращала внимание орта на него, но она упорно убедить меня пытается что "все на месте") я в капах ...полное расстройство!...что делать не знаю...как вообще такие спорные вопросы решаются и самое главное что делать с зубом!??опять одевать брекеты?

уехавшая 2

22.11.2012 - 14:36

1 запись

Привет всем! Наконец-то скоро вступлю в ряды брекетоносцев. Ну, как скоро.. Минимум - через полгода. А пока ситуация на данный момент (по мне так ужасная): Нехватка места как на ВЧ, так и на НЧ. Удалили 8-ки. Моя ортофея сказала ставить аппарат для разрыва небного шва (он же Дерихсвайлера), чтобы не удалять 4-ки (уж очень не хочется). Два других орта покрутили пальцем у виска, мол, 20 лет - поздно расширять зубные ряды и нужно удалять все 4-ки. Я решилась пойти на риск и доверилась своей ортофее - поставила аппарат. Вчера - 21.11.2012. Читать далее »

22.11.2012 - 14:10

1 день, начинаем обратный отсчет=)

Вчера вечером я наконец-то сделала то о чем мечтала 24 года! в момент установки промелькнуло желание свалить, но я сдержалась! Установка 40 минут, все быстро и легко. Когда закрыла рот удивилась сильно, привыкаю к этому странному ощущению наручников! Ничего не трет-это радует. Не нравится что кушать совсем тяжело...Зубы как после заморозки или вроде как там одновременно застряло куча кусочков мяса. при надавливании неприятно очень! Чистить какие-то зубки больно когда прикасаешься...это нормально? Болей таких чтоб пить обезболивающее нет=)

Ребят,а как вы боретесь с натиранием слизистой от брекетов?)

для меня это щас больная тема)) когда налеплю воск,вообще кайф,на я его очень экономлю)) кстати,а как правильно его лепить?) расскажите пожалуйста

22.11.2012 - 09:23