Дневники

Официально с вами

Сегодня установили на ВЧ металлические брекеты. Тянет, но терпимо. Орт сказал, что может больно будет.

26.10.2012 - 17:14

15 дней

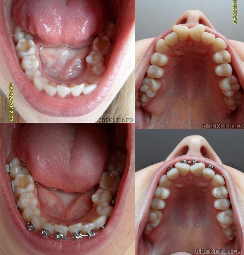
Вот и прошли 15 дней с брекетами. Вчера вместе с ними встречала первое ДР. По случаю сделала коллаж. Видете ли вы изменения?? Верхний ряд фото - день установки, нижний 15 день

09g4v_croper_ru.jpeg

wqmec_croper_ru.jpeg

26.10.2012 - 16:35

С чего-то надо начать ))

Как-то так получилось, что мысль начать вести орто-дневник возникла давно, примерно в то же время, когда начала к установке брекетов готовиться (а это было аж в июле), но сподобилась я только сейчас )) не знаю, будет ли он полезен кому-то, кроме меня самой, но, думаю, не будет лишним как-то упорядочивать (есть такое слово? :S) свои ощущения-впечатления-наблюдения в процессе лечения. Читать далее »

26.10.2012 - 16:34

Вот и я добралась разместить фото!!!!

Меня беспокоит щель между ВЧ и НЧ,а также перекос....Надо удалять 4-ки или можно обойтись((((. У кого такое было???? Клыкам не хвалато места, а зубки не удаляли. не напрасно ли ето????

26.10.2012 - 16:13

НЧ

Ну вот! я, как и многие, отмечу это событие! Сегодня мне установили брекеты на НЧ. Пока только ноет и чешется...
На ВЧ мне уже второй раз сменили дугу...первый раз у меня ничего не болело...совсем, даже не ныло. И как мне кажется - ничего не поменялось. И вот уже 3 дуга и опять никаких ощущений - расстраивает!((((((( Эффект был только от самой первой дуги! Печалька!

26.10.2012 - 16:01

Остается только ждать

ЧП !!!!!!!!
Дуга вылетела с НЧ, на прием только 30 впивается в десну больно жуть
Приходится терпеть, КРАСОТА ТРЕБУЕТ ЖЕРТВ

26.10.2012 - 15:58

Этот замечательный день:)

Все Hello:)Мне поставили брекеты,ощущения странные:)пока ничего не болит тьфу тьфу ;)

26.10.2012 - 15:40

Happy birthday to me

Всем привет!!! Наконец нашла времени зайти на сайт и поделиться со всеми форумчанами своим так сказать праздником. Завтра-27 октября, будет ровно год как я ношу брекеты. Happy birthday to me=))). Всем хорошего настроения.

26.10.2012 - 15:32

Привет всем!Брекеты я еще не ношу,но у меня целая куча вопросов...

Привет отважные люди!Вот я все в раздумьях,ставить ли БС или нет...Просто мне 21 год,прикус мезиальный вроде.С левой стороны на ВЧ нет клыка ,не вырос.Рентген зубов еще не делала,наверно завтра пойду,сделаю.Будет уже известно где он,паразитик затерялся... А еще у меня все 8 выросли,а вот с одной стороны восьмерочка боком встала и семерку подпирает.Так вот в чем заключается вопрос ВОЗМОЖНО ЛИ В МОЕМ ВОЗРАСТЕ ИСПРАВИТЬ ПРИКУС ,ВЫТЯНУТЬ КЛЫК И КОНЕЧНО СДЕЛАТЬ ВСЕ БОЛЕЕ МЕНЕЕ РОВНЫМ...???

Вопрос!!!!!

Хочется обратится к опытным брекетоносцам вот с каким вопросом:всем ли ставят брекеты на обе челюсти?у меня стоит только на вч,низ практически ровный,одна двоечка немножко кривовата,но это пустяки,я бы не стала заморачиваться на этот счет)если скажут ставить,значит буду,если нет,то нет)))я ортшу свою долго пытала,что с нижней челюстью делать будем,а у нее один ответ:пока ничего сказать не могу,будем ждать когда выровняются зубки на вч,если будет все смыкаться,значит не будем,а если не будет то сами понимаете))))вот я сижу и думаю чего ждать?откладывать ли денежку на нч?и правильно ли вообще,чт Читать далее »

26.10.2012 - 11:52