Дневники

Вопрос о прикусе

Как действуют брекеты на Дистальный прикус?каким образом челюсть будет выезжать вперёд? ),я понять не могу!.
ps спс заранее

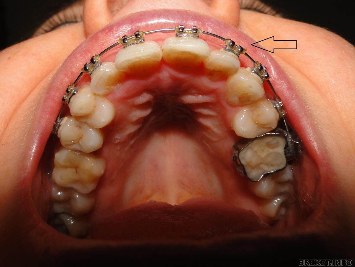
Аппарат Нансе

Здравствуйте, брекетоносцы!
Решила зарегистрироваться в этом сайте, дабы поделиться своей радостью. Сделала первый шаг к красивой улыбке: установили аппарат Нансе!
Ощущение такое, как будто во рту нерассасываемый леденец, только без вкуса какого-нибудь)
установили в пятницу, 05.10.2012, уже натерла язык и щеки(
сначала были проблемы с дикцией, теперь вроде нормально, но все еще переспрашивают)
уже завтра поставят половину брекетов на верхней челюсти!
жду с нетерпением!)

08.10.2012 - 20:22

Зубы пляшут кто куда!

Доброго времени суток, уважаемые форумчане. Я совсем недавно поставила брекиты на ВЧ, и как ни странно зубы начали двигаться, вот только меня их траектория движения настораживает, однерки были прямые а теперь стали наезжать друг на дружку, двойка справа стремиться занять свое место, а вот двойка слева куда то поехала, да и вообще рот какой то не родной стал. Скажите у кого нибудь было так что зубы еще сильней кривились и что потом с ними стало? Буду рада и очень благодарна если напишете.

Тяги и прикус

Сколько примерно ви носили тяги для прикуса. У меня он глубокий и травматический.

08.10.2012 - 19:59

нижняя челюсть

Ребята, я уже ношу брекеты на ВЧ месяц. Жду когда поставят НЧ, но чтобы мне поставили НЧ, мне надо исправить прикус. Мне очень интересно, через какое время после устаноки ВЧ Вам поставили НЧ)

08.10.2012 - 19:41

Полный Ахтунг или как же я докатилась...

Долго не знала с чего начать, тут решила просто изложить как есть... Простите за объем, просто накопилось... Читать далее »

08.10.2012 - 10:06

Ребяяяят, срочно нужна ваша помощь.. хочу менять орта :(

Привет!
Давненько я здесь не писала.. работа, работа(
Вообще суть в чем:
еще в июне я расстраивалась из-за результатов, хотя тогда носила БС только 1,5 месяца, кому интересно можно посмотреть здесь http://breket.info/blogs/246525.
Все тогда посоветовали мне не переживать, прошло только 1,5 месяца и т.д.
И вот уже почти полгода, а результат все тот же!!!
Основная моя проблема - это верхние единички, одна вперед, другая назад.
Для сравнения:
1,5 месяца

koll 1,5m.jpg
Читать далее »

08.10.2012 - 08:18

Экстримальные выходные - 2 суток без зубной щетки!!!

Уехала на выходные в лес и забыла боевой комплект брекетоносца!!! В сумочке от него осталось только зеркало!!! Поначалу было похоже на пытку - как это покушать и не почистить зубы?!?! Потом поняла что делать нечего и начался полет фантазии! В ход пошли елочки-иголочки, палочки-сучечки! И какое же было счастье через двое суток почистить зубки!!!!!!!!!! Урааааааа!!!!!!!!!

08.10.2012 - 07:32

Нижний центр

А вот расскажите, насколько вы озабочены нижним центром? Готовы ли с упоением его добиваться, тратя энное количество зубов и времени, лишь бы центр встал ровно промеж передних зубов? Спрашиваю, потому что у самой не удалось совместить верхний центр с нижним. Но вот по этому поводу я как-то не парюсь, что с моей-то мнительностью странно ) Орт мне сказала - ну не получилось, далеко не у всех получается - я и согласилась, вроде в глаза не бросается. Тем более тут я и сама понимаю, что кроме как удалив зубы, центр никуда не подвинешь. Чейном подтянули насколько смогли, дальше всё...

07.10.2012 - 23:34

пожалуйста посмотрите!

мне 19 снимут дуги и слепки, через еще неделю снимут замочки и дадут капы(пластинки, не знаю как они точно называются

kapa.jpg
) Но мне не нравиться 1 и 2 справа на фото
1_i_2.jpg
1 как будто вперед выходит , а 2 вообще сикось накось стоит. Читать далее »

07.10.2012 - 21:51