Дневники

Приклеили ретейнер на НЧ

Честно говоря, ощущения так себе... Наверно, привыкну, но пока что очень хорошо его ощущаю языком и это противно
Через месяц приклеим на верх и снимем брекеты. Мне бы радоваться, а я всё думаю о том, что вот последний месяц мне на то, чтобы провести языком по внутренней стороне зубов и чувствовать гладкость...

А еще поела яблоко и выяснила, что отлично в ретейнерах всё застревает, не хуже, чем в брекетах... э-эх...

04.10.2012 - 17:31

Итак...

01.10.2012 поставила брекеты на ВЧ. 9 октября на НЧ пойду ставить. Потом предстоит удаление 4х зубов, 2 с верхней и 2 с нижней челюсти. Восьмерки удалила давно, тогда еще не думала что буду ставить брекеты. Мне 32 (о..ужас)) года. Снимать по прогнозам- через два года (о ужас(2)). когда нибудь я буду это читать и улыбаться голливудской улыбкой!

04.10.2012 - 15:01

Хочу поделиться ощущениями после первого дня.

Итак, вчера, в 4 часа вечера мне поставили металлические брекеты на ВЧ. Я очень хотела, чтобы ортодонт поставил сразу на обе (типа раньше сядем - раньше выйдем=), но орт сказал, что лучше так не делать: "Сегодня ближе к ночи ты поймешь, почему...".
Ощущения очень непривычные сразу после установки, на одном зубе железяка очень сильно царапала слизистую, я это сразу заметила. Как приехала домой, налепила воск, очень хорошо помогает. Правда забываю про него пока. Читать далее »

04.10.2012 - 14:52

Ух...зубки "полетели"-то!!!

всем привет!!! Я ношу брекетули 2,5 месяца,смыкания зубов практически нет,зубы вооще разлетелись

04102012638.jpg

И ЭТО В СОМКНУТОМ СОСТОЯНИИ ЧЕЛЮСТИ!!!!
Я в шоке,зубы даже не соприкасаются,а пережевывание пищи сплошной аттракцион!!!

04.10.2012 - 14:51

6 месяцев!

Всем октябрьский привет!
По старинке ежемесячный отчет. Вчера было 6 месяцев моей БС на ВЧ...В общем немного расстроена( Все тоже самое что и в 5 мес., вроде ровно, а вроде даже хуже стало, зубы какие-то серые, прозрачные, видно истощены. Сделала фото и ужаснулась, даже выкладывать не хочу...22 октября установка на НЧ, до ужаса этого не хочу. Знаю, что привыкну и буду чувствовать себя прекрасно, но видно сегодня настроение-дрянь...

04.10.2012 - 14:29

Предыстория

(надеюсь, придет день, когда я с улыбкой буду вспоминать весь этот ужас. ПИШУ ДЛЯ СЕБЯ, но вдруг кому-то будет интересно)

Как я пришла к решению поставить брекеты Читать далее »

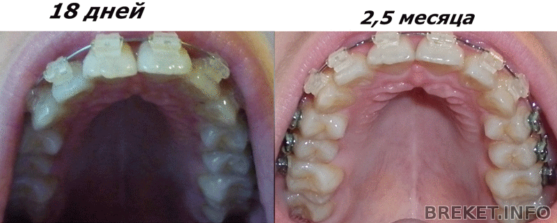
Мда, вот уже и два с половиной месяца))))))))))

Как быстро время идёёт! Была на приёме, поменяли дугу и сделали маленькие щели справа и слева от единичек, чтобы единичкам было куда двигаться)) спросила, как называется, думала сепарация, но назвали это как-то по другому, было немного неприятно, но куда деваться))) Вобще очень довольна процессом))

Результат 2,5 м

В профиле изменений на фото не видно, но в зеркале очень даже заметно, что единички стали не такими длинными, фото выложу попозже, когда изменения будут более заметны)) Читать далее »

04.10.2012 - 13:08

Нам почти год!

Дорогие брекетоносцы, решила выставить на обозрение,свои результаты!

bezymyannyy.jpg
Вот так затянулись промежутки от 4-ок, тянули только чейнами без тяг и т.п.
dscn001.jpg
Так страдал мой центр.
bezymyannyy2.jpg
А так стало сейчас, передние сомкнулись, а задние зубы разомкнулись, теперь жевать нечем!Сразу вопрос:сколько по времени это может исправляться?Просто орт мне обещала в конце декабря снять, но я смотрю на эту Читать далее »

Удалили зуб мудрости

вчера удалили зуб мудрости на нч...процедура не из приятных, но что делать, красота требует жертв! операция длилась минут 30 (если не меньше). Когда анестезия отошла было еще хуже, но тут на помощь приходит обезболивающее) Сегодня вся щека опухла, если кому-то удаляли, скажите, как убрать опухоль?( а то не хочется быть похожей на хомяка

Время тяяяяянееееетсяяяяяя......

Итак, уже две недели позади.
Вообще, я всегда считала, что на ВЧ у меня ровные зубы. Но не тут то было. Они же двигаются, я вижу! Значит, стояли все таки не правильно Немного развернулись двойки, и все чуть разошлись, появились межзубные промежутки. А то раньше ж вообще все впритык было, с трудом нить протискивала. И да, я наконец то добралась до флоса! Купила специальный, для брекетоносцев, удобно просовывать и чистить. А главное уже не больно! Так я без него страдала, привыкла жутко, без него любая чистка казалась незавершенной. Читать далее »

04.10.2012 - 10:34