Дневники

Как вы справились с зудом?

Поделитесь как вы справились с этим ужасным зудом после установки брекетов.
Я уже не могу так все чешеться и как вы думаете сколько это терпеть, неужели все время ношения???

Поставили:)

Всем привет! Вчера мне поставили брекеты.. Прошел один день .. В школе только некоторые заметили их.. Зубы болят.. Не приятное ощущение..Что должен знать брекетоносец?

08.09.2012 - 15:55

Удалила таки первый

Уууу...после удаления прошел час.....о ужас....как болит челюсть....
Начну по порядку... Вчера была у орт-та...сделали слепки, сказала что нужно удалять одну 5-ку с НЧ, и две 4-ки сверху.... начать нужно с нижнего зуба...
Просыпаюсь утром... ура...выходной, можно полежать-ничего-не-делать-с -утра... включила ноут, и с головой ушла во всемирную паутину. И тут..в 12.30 мою голову посещает мысль - "А не удалить ли мне сегодня зуб?!" собралась за 5 мин, и в час я уже была в частной клинике... Читать далее »

08.09.2012 - 15:53

Сдвиги

Ребят, всем привет=))

Ну что я могу сказать: мои результаты с прошлого посещения (3 августа), никакие:если на прошлой дуге я видела результаты, то сейчас их нет, на мой взгляд...НЧ вообще ничего не хочет делать...Может, дуга испортилась??Перепады температуры какие-нибудь, не уследила чтоль...

08.09.2012 - 14:16

Боевое крещение

Ну что ж, вот я и решилась зарегистрироваться. Читала с пол годика, столько же решалась... Вот уже почти 1,5 месяца как на моих зубах появились обновки. Ситуация с лечением была забавной. Начну с того, что учусь я в другой стране, но систему ставила дома, сроки сжатые: за 2 месяца надо было успеть удалить зубы и поставить всю БС. Читать далее »

08.09.2012 - 12:31

А я пропустила свой юбилей.

Фух, я и не заметила, что уже с брекетами 1 год и два месяца. Но меня это не особо радует, ибо 2 месяца я не была у ортофеи по причине ее болезни. Это очень печальная история, и мне начинает казаться, что лечение я буду заканчивать с другим ортодонтом, что не может не огорчать. В чертовой поликлинике, где я лечусь, коррупция и еще раз коррупция. На то, что врач хороший, даже и не смотрят. В общем, чем закончится эта история - я не знаю, а пока об успехах. Читать далее »

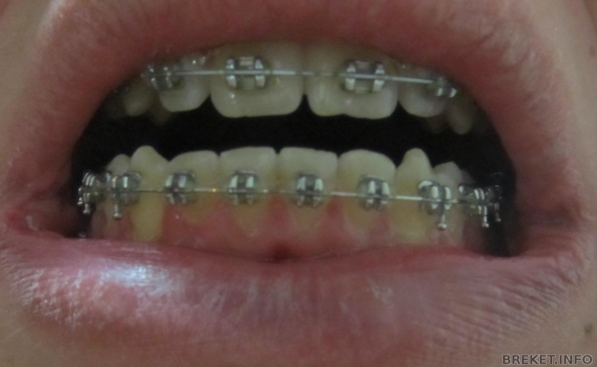
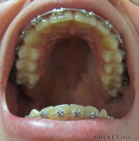
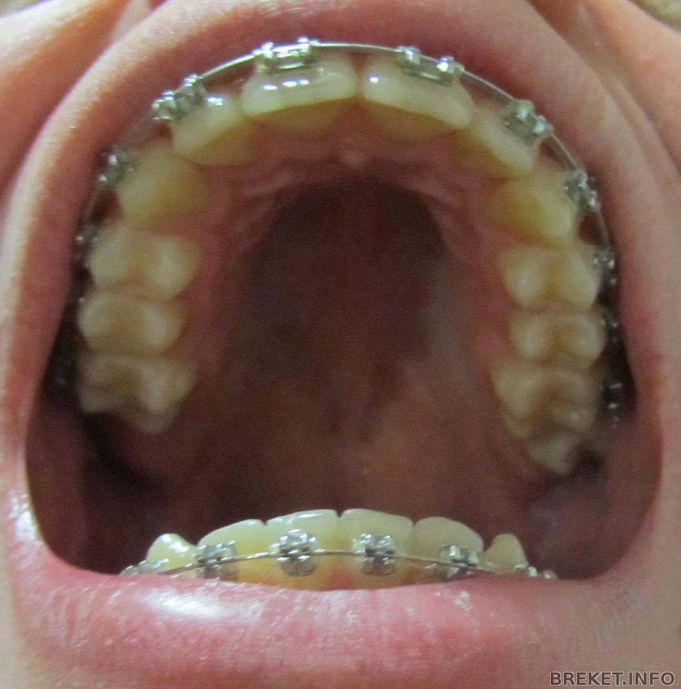
Новые фото, новые результаты.

Смотрите фото, верхняя челюсть мне уже почти нравится. А вот над нижней еще рабтать и работать.

Прикус

izobrazhenie_002.jpg

izobrazhenie_003.jpg

izobrazhenie_004.jpg

izobrazhenie_005.jpg

Ребятушки, всем, кто сомневается, ставьте брекеты и ваша жизнь изменится!!!

08.09.2012 - 11:25

месяцок

Прошел ровно месяц с момента установки брекетов на ВЧ. Уже ничего не болит, не натирает и это радует. Но смотрю на себя в зеркало и не вижу сильных изменений. Только маленькие щельки появились между 1-ми и 2-ми и 3-ми. Может я слишком многого хочу и не надо так торопить события?

08.09.2012 - 09:42

Расширится ли узкая челюсть??

узкая верхняя и нижняя челюсть ..орт-т сказала что расширится.. а мне прям не верится...как она может расшириться в таком возрасте(28л)...друзья-товарищи...Покажите реальные примеры пожалуйста..

07.09.2012 - 23:47

не о брекетах.. Ярославль... "Локомотив"

7 сентября..
год без "Локомотива"..
в городе витает чувство скорби..
вспоминая то, о чем происходило в том году берет дрожь.. я даже не верила, что это вообще правда..
я не фанат хоккея, просто страшно подумать, что такое произошло так близко.. так жалко погибших, так жалко тех, кого они покинули..
год назад я не плакала от сильного шока.. плакала уже потом, читая статьи, смотря фото..
сегодня видя траур, передачи о "Локомотиве", видео в соц.сетях меня начало трясти.. я не могу сдержать слез..
улетевшие навсегда.. навсегда в памяти..

07.09.2012 - 20:58