прошел месяц, ничего почти не поменялось, потому что дугу не меняли и старая просто доработала свое) на прием нескоро, кажись, мой врач в отпуске) иначе, не знаю, почему мне назначили так нескоро)
фото не знаю зачем сделала (особенно в профиль), но мне нравится, какие сегодня хорошие получились снимки в солнечной комнате))))
Вчера ездили на лесную прогулку, вроде неплохо отдохнули, погуляли, успели сделать несколько фотографий, потому как нас выгнал ливень с грозой, а было так солнечно...
Через 10 дней у меня прием, что-то быстро время от приема до приема бежит...Хотела записаться на проф. чистку, да что-то никто трубку не берет, совсем расстраивают.
А чистку до приема нужно, а то опять там все занято будет, ладно позвоню попозже.
Блин,почему у меня всё так ((( Только перестала болеть челюсть от тяг,а тут опять возникает новая проблема- расшаталось бандажное кольцо на правой 6-ке. Мне его уже один раз меняли и снова тоже самое.И как назло ортофея в отпуске до сентября((( Я уже начинаю задумываться-зачем я это всё затеяла (орто лечение),у меня одни проблемы,то одно ,то другое,я из клиники не вылажу,каждую неделю хожу к ним((( Думала хоть сейчас до сентября не буду появляться,сама отдохну) Блин и что мне теперь делать,может ли оно полностью слезть с зуба??? Читать далее »
Всем привет, которые еще не уехали на заморские моря и всем вернувшимся уже с них.
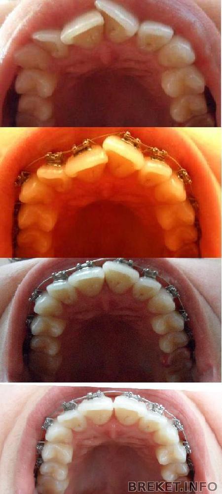
Что изменилось видимое даже мне:
1.единицы обе слились воедино
2.образовалась щель между единицей и двойкой. Ее не было до этого.
3. Другой двойке для выравнивания не хватает места по-видимому,чтобы развернуться.
Очередной раз сменять дугу? Или все таки какую-то штуку поставят,чтобы развернуть двойку ? И как убрать эту щель ? Кто что думает ?
Здравствуйте! У меня глубокий дистальный прикус.Кто исправлял данный вид прикуса? Вы довольны результатом? Насколько изменилось лицо и в какую сторону( лучшую,худшую)? Заранее спасибо за ответы) Мне немного страшно исправлять, боюсь, что лицо изменится не в лучшую сторону.(
ну вот, поставили пластинку назад. опять речь нечеткая,но это пустяки. денег не взял
через неделю надо дугу менять на НЧ, через две - на ВЧ. неудобно, да и не всегда получается приходить на прием
ношу на НЧ без 3 дней месяц, а на верхней всего 2 недели. зубы болят время от времени.нооо, внимание девушки, я сбросил 5 кг,завидуйте, ахахаха
Вот и очередной поход к моей ортофее))Сегодня мне меняли дугу(на НЧ и ВЧ), а еще переклеили брекеты на 2ках, т.к. они у меня наконечто вылезли из дебрей моей челюсти))Ортофея сказала, что все отлично))Вот так)
мне сегодня страшный при страшный сон приснился. Вот я типа брекеты сняла, месяц отходила и как то раз забыла на ночь ретейнер свой одеть, а вот утром просыпаюсь......ииииии.... все зубы повернулись на...сколько градусов? эм..на 90, точно! я так испугалась! потом я одела ретейнер и на следующее утро уже все было нормально. из этого вопрос...ЧТО СО МНОЙ НЕ ТАК? это меня совесть наверно мучает, потому что я вчера забыла ретейнер одеть поделом мне о.о
Трубка на НЧ справа постоянно отклеивается! Первый раз отклеилась через день после установки брекетов на НЧ. Ортша сказала не приезжать, что на приёме приклеит. Уже 3 раз приклеивает, а она всё равно не держится! Проходит дня два и - хрусь, лови её во рту... Может её вообще не приклеивать тогда? В процессе я так поняла она не участвует, просто дугу держит.... Или просто кто-то слишко много ест?