Дневники

Вопрос про проф.чистку???

Подскажите пожалуйста,чтобы сделать проф.чистку надо дуги снимать? И какую лучше чистку делать простую проф.чистку или Air-Flow? Какая более щадящая для эмали.

31.07.2012 - 15:09

первый день после установки

Привет всем! Ничего нового не скажу, болят зубы, голова ( обесбаливающее не помогает) хорошо что взяла больничный. Кусать жевать не могу но это плюс - может скину пару кг )))

31.07.2012 - 14:24

Час откровений.

Ну вот и начались устрашающие сновидения о брекетах. Раньше снилось как выпадали зубы из-за брекетов, теперь же нечто другое. Сегодня приснилось, что все брекеты отвалились от зубов Нечто, конечно.
Все потягивает правую сторону и клык, тянет, но ничего особо не двигается, только кажется, что вся правая поползла вверх к клыку Либо так и было и у меня просто бзики начались, либо так и есть. А щербинка не уменьшается!! Читать далее »

31.07.2012 - 11:51

Отклеенный брекет??

Привет всем! Дело в том, что я уже приобретаю большую уверенность, что у меня отклеенный брекет...у меня есть молочный зуб, кусочка которого нету - вот на нем-то брекет и отклеенный, по-моему. Может, его туда и невозможно нормально приклеить?

100_1702.jpg
- дума вы его заметили - там где красная точка. Я движения этого брекета заметила на второй-третий день после установки. Но все же...в город из-за него сразу было бы неудобно ехать. Едем 4го августа на назначенный прием. Так вот, я надеюсь, это ничего страшного? Читать далее »

31.07.2012 - 11:32

КЛЫК ЗА КЛЫК: хреновое смыкание

Ну привет, что ли, дорогие решившиеся!

Сегодня у меня на ВЧ 8 месяцев 15 дней, на НЧ 4 месяца 26 дней.

Вчера была на очередном приёме у орта. Мне планово заменили дугу на НЧ, поставили после 016 сразу с другим сечением (наверное, прямоугольным). Т.е. перепрыгнули через 018 дугу. Читать далее »

31.07.2012 - 10:23

нытьЁ

Прошло 4 месяца с установки брекетов на ВЧ. Все видимые изменения были в течение первых 2 месяцев. Сейчас как мне кажется, ничего не происходит. Боюсь, если мои зубы будут двигаться такими темпами носить систему мне придется года три..3 августа установка на НЧ, но радости от этого я не испытываю. Вообще все как-то не весело..

31.07.2012 - 09:07

С_Н_Я_Л_И --- без особых эмоций, хотя немного все же рада

Наверное мой док ждал этого дня больше, чем я. Меня все равно до конца не все устраивало, мелочи, которые заметны в основном только мне.... (а может и не только), небольшое смещение плюс одна сторна немного выпирает...

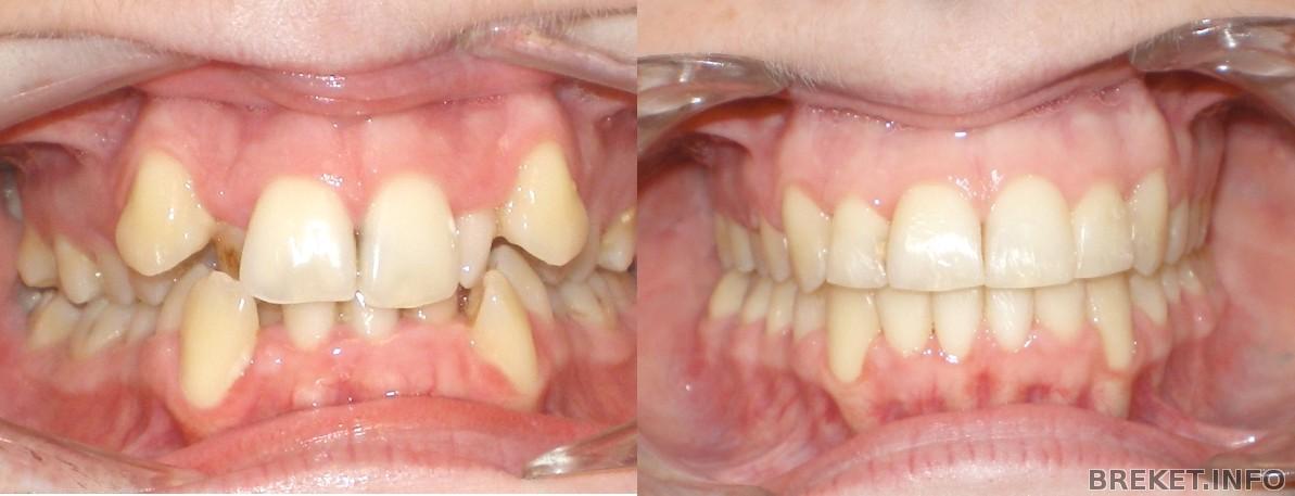
ДО и ПОСЛЕ

front.jpg

Прикус

prikys.jpg

Собственно улыбка (улыбка в брекетах казалась шире)

3.jpg

В капах Читать далее »

31.07.2012 - 02:35

беда

здраствуйте. тут такое дело : у меня на верхней челюсти брекеты только на первых тройках, а на остальных расширяющая пластинка. ношу ее примерно 3 недели,и вот заметил, что с одной стороны цемент начал отваливаться кусочками.а сегодня вечером я чуть поковырял и волшебным движением пальцев просто-напросто снял ее) хотя,казалось бы,это невозможно сделать
надеюсь,доступно написал
у кого-нибудь что-то подобное было? помогите,чем сможете,пожалуйста

30.07.2012 - 22:38

День 3-й((((

3-й день как установили лингвалки на вч. Впечатления не такие радужные как в первый:ацццки болит язык, который брекеты царапают да и дикция откровенно говоря хромает((( особенно проблематично выговаривать шипящие звуки((( единственная радость, что зубки уже ровнее стали, даже знакомые замечают. Пытаюсь настроится на позитив, орт говорит что через неделю/максимум 2 все пройдет. Хочется в это верить! Сегодня закупила 3 коробки воска и комистад))) Верю в лучшее

30.07.2012 - 20:17

Тяги

Всем добрый вечер! Сегодня ходила на приём к ортофее,она выдала тяги,сказала носить круглосуточно.Но я забыла спросить,как часто их менять. Подскажите пожалуйста,опытные тягоносцы )))

30.07.2012 - 19:32