Дневники

18 народных средств от зубной боли

Капалась в интернете и нашла вот такую заметку

18 народных средств от зубной боли!:

1. Снять зубную боль помогает следующая настойка: 50 г. берёзовых почек настаивают на 500 мл. водки в течение не менее 10 дней, затем кусочек ватки смачивают в полученной настойке и прикладывают к больному зубу.
2. Готовим настойку из 30 г. винного уксуса и мелко нарезанных листьев мяты и малины (небольшое количество). Все компоненты необходимо перемешать и настаивать смесь в течение 3 дней. Читать далее »

03.06.2012 - 16:00

кому-нибудь двигали 7-ку на место 6-ки?

Всем привет! Я пока не вступила в ваши ряды, но думаю в ближайшее время это произойдет. Скажите, у кого-нибудь была ситуация, что пришлось удалять 6-ку и на её место двигать 7-ку. Именно это предлагает мой орт.

03.06.2012 - 15:19

Бла-бла... :))

Как всё-таки хорошо летом! Душа радуется, хоть я и не переношу жару (а именно она уже почти неделю царствует в моём городе), всё такое свежее, яркое... Благодать!
Вчера моим БС на ВЧ был ровно месяц Изменения есть, и очень даже ощутимые... Но фото пока выкладывать не буду, подожду установку на НЧ - она грядёт через 20 дней. Чувствую, что та единичка, которая выдавалась вперёд, значительно задвинулась назад, и я теперь стабильно натыкаюсь на неё языком Читать далее »

03.06.2012 - 14:29

Я потеряла кольцо! (((

Привет!!!! У кого то когда то слетало кольцо? Моей БС всего 2 недели. У меня вчера в кинотеатре слетело кольцо на НЧ, я его одела обратно, и теперь через каждые 5 мин пальцем ставлю его на место.

Вопрос к "металлистам"

Привет всем кто носит металлические брекеты! У меня к вам вопрос: не жалеете ли о том что поставили себе металл?

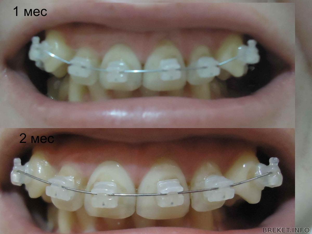
2 мес 1день, отчет

Всем доброго летнего дня! Сегодня 2 мес 1день моего брекетоношения на ВЧ. Изменения небольшие, второй прием 8 июня, а пока фото с результатами.

2m.jpg

остальные сравнения в альбоме.
И такой вопрос, если у меня в договоре лечения прописано на НЧ Дэймон Ку, а я слышала,что есть Клир на НЧ уже, можно ли пометь свой выбор, кто-нибудь выбирал другую брекет систему после составления плана. И меня еще интересует Дэймон3 выглядет меньше чем КУ???

03.06.2012 - 11:32

Охото поставить брекеты.

Всем привет. Я хочу поставить брекеты. Сходила в две стоматологии. В одной ортодонт сказала, что будем ставить брекеты сначала на ВЧ, потом на НЧ. Стоимость металл. - 24000, керамич. - 32000.
Другой ортодонт сказал, что на верхней челюсти зубы более-менее нормальные, и поставить можно будет только на НЧ, а после снятия носить трейнеры, чтобы исправить прикус и подровнять верхние зубки. Сейчас в этой клинике акция, что брекеты будет поставить подешевле, чем в первой.
Вот не знаю, как лучше.

03.06.2012 - 10:22

Или да или нет

Вчера была на очередном приеме!!!Вот и 7 месяцев прошло с момента установки!Орт посмотрела,поменяла чейн и вот и говорит:"Ну что на низ ставить будем или нет?"Я конечно сама замечаю что верхняя челюсть стала шире,но я в шоке!Или говорит можно так оставить, но 7-ки верхние будут нижнюю десну задевать!Я то и не против поставить на нижнюю,как говорится взял мяч ............И на том спасибо что почти 8 месяцев с одной ходила!Я спросила на какое приблизительно время ставить на низ,она говорит на пол года,это меня вообще шокировала, я еще на год ношения себя настроила!И вер через полгода снимем,я вс Читать далее »

Час откровений.

Вторая запись после недолгого времени. НЧ ходит по полной программе. Не могу нормально найти соприкосновение и прикус. Кусать на нижнюю до сих пор больновато. Результаты, конечно, не особо видны. Центры ,видимо, будут долго выравниваться....остается ждать.
Зато нашла фотографию ВЧ сразу после установки, 1 месяц 13 дней.

Мои "рельсы" на ВЧ

А вот фото до установок, я умело скрываю свою правую часть улыбки, на втором страшные кривулины))) Читать далее »