Дневники

Лед тронулся) Клык подключен!!!!!

Итак, лэдис энд джэнтэльменс) Случилось!!! На 7-ом месяце ношения БС на ВЧ настал этот день) Пружина отработала свое, место получено, а я просто счастлива) подключили, пожалуй, самый кривой зуб на ВЧ к общей тусовке! Для меня это поистине чудо: не верилось до последнего, что из ничего может взяться столько места) На НЧ пока без изменений: пружина освобождает место для выросшей в десне пятерки. И ктстаи, неплохо так освобождает По поводу сроков на спускание, как я и думала: орт сказал около 3-4 месяцев. Но, по его словам, торопиться некуда. Читать далее »

25.05.2012 - 18:43

тяги

4 месяца не была на приеме. зубы особо не сдвинулись за это время. сегодня поменяла дуги, и мне вручили чудо пакетик с тягами) у меня не получается их одевать. да, и не особо верится, что эта ерунда исправит мой ужасный прикус. но носить буду постоянно.

25.05.2012 - 17:19

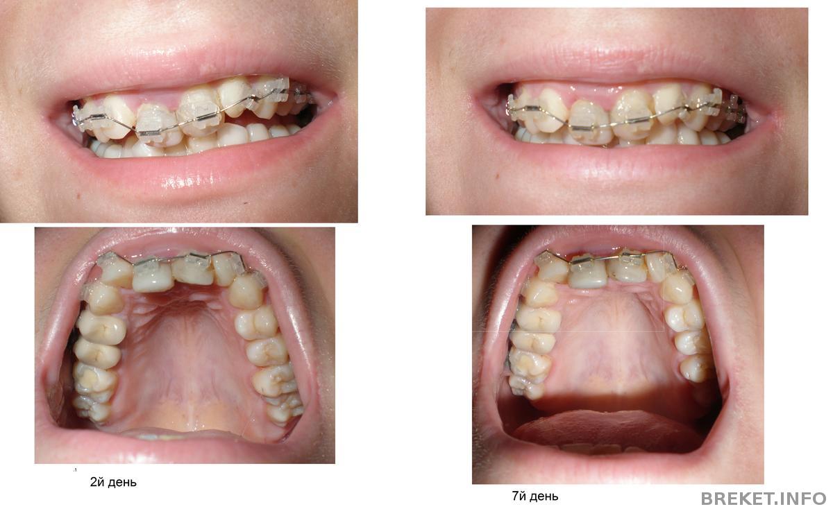
Ровно неделю спустя

Вот уже и прошла именно та неделя которой так пугали
Конечно прогресс еще сам по себе не очень заметен, но зато уже не болят зубки, хотя и ощутимо тянет их
Самое трудное это были 2й и 3й день, хотя тоже было вполне терпимо и обезболивающего не пила...ну а что дальше - теперь уже буду и дальше привыкать к брекетам

Неделя после установки

25.05.2012 - 16:58

Как же я хочу БС

В общем, установить получится только в июле (обстоятельства). А так уже хочется, чтобы выравнивались зубки.. Сделала в ФШ проект своих зубиков с брекетами. Знаю не айс, но примерно так будет)) Планирую установить Damon 3.

Представляю, что будет)

Как вы думаете, у меня скорее большие или маленькие зубы? Просто всегда по-разному кажется.

25.05.2012 - 16:07

железные лигатурки

Всем доброго времени суток.
Интересует такой вопрос: почему орты на отдельных зубах ставят железные лигатуры, а на все остальные обычный ластик???
У меня конечно есть предположение....возможно чтобы закрепить зуб...я как всегда не спросила у доктора...может кто в курсе???
У меня стоят на ВЧ на клыках. Причем когда устанавливали БС, то поставили только на 1 клык железную лигатуру, а через прием поставили на другой клык...странно....
На фото наверное не оч заметно... нам тут почти 3 месяца
Читать далее »

ААААААА СНЯЛИ!!!!!!!!!))))))))

ААААААААААААААААААААААААА
в общем, все было очень долго, но оно того стоило!!!))))))))))

YEEEEEAAAAH.jpg

ретейнеры приклеили на верх и на низ)))))))
про центр мне не говорить! я знаю, что его нет, а еще я знаю, что его и быть не могло по пропорциям))))

25.05.2012 - 14:39

Ура! Установили на НЧ))))

Ну вот... теперь у меня полный боевой комплект ))) Только я привыкла к брекетам на ВЧ, теперь надо привыкать к нижним ))) Первое посещение с ВЧ еще только через месяц )) Ну а с НЧ вообще в июле )

nch1.jpg

25.05.2012 - 13:55

СНЯТИИИИИИИИИЕ))))

Всем приветик!
Прошло уже пол года с момента установки БС, привыкла как к родным, даже уже не помню как это без них И вот вчера на очередном приеме орт сказал, что 8 июня мы их снимааааааааем! Радости моей не было предела, готова была его расцеловать Я то думала год точно мне с ними гулять, а тут на тебе... снятие!!!! Короче как только сниму выложу фото на вашу оценку!

25.05.2012 - 13:39

Прошло 3 месяца.

Пишу для тех кто еще боится.. думает....не решается....
Брекиты..дорого... но если вам их оплачивают родители.. не думайте, решайтесь!!!!!
У меня скоро установка на НЧ...
И про боль.. тут многие пишут. что ее боятся, а я ей радуюсь.. вот иногда все затихает и ничего не болит.. грызу яблоки, живу как жила до брекитов. а как заболит зуб, я радуюсь.. Ура!!! Значит опять началось движение.
Было....

picture0026.jpg

прошло 3 месяца
3 месяца

25.05.2012 - 12:57

замена первой дуги

Сегодня была первый раз у орта после установки (пропустила уже 2 приема из-за платики уздечки).. Поменял дугу на 16-ю и выдал направление на удаления верхних 8-к. Я пожаловалась на то, что при открывании рта что-то щелкает. Причем не всегда..а переодически. Он посмотрел и сказал что это из-за 8-к. Ну будем надеятся...а то я тут начиталась про ужасы связанные с суставом..

25.05.2012 - 11:18