Дневники

Вот такой у меня был клык!

Нашла свой слепок 12летней давности. Вот такой у меня был зубик. Видимо в те времена все было проще удалить, что, собственно, мне и сделали. Так я осталась без одного клыка, а он бы мне сейчас очень пригодился.

клык

слепок

17.05.2012 - 11:43

Первый прием!

Привет друзья!
У меня скоро первый прием, на нем обязательно меняют дугу? На квадратную, или такую же круглую поставят?
Заранее спасибо!

Сколько стоит снять брекет-систему?

Всем привет!
Скажите, друзья, это правда, что за снятие брекет-системы надо платить?????
Я в шоке! Хожу к своему орту уже почти год (учитывая подготовку),
и она ни разу за это время не сказала мне об этом!
Я случайно прочитала в комментариях здесь. Чувствую себя лохом.

Если не секрет, во сколько примерно обходится снятие?

16.05.2012 - 23:24

3 месяца позади

время летит всё быстрее))
всё хорошо, есть небольшие результаты. На верхней стоит предпоследняя дуга, на нижней 2я только.

16.05.2012 - 21:28

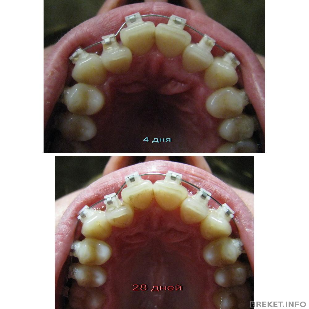
Сегодня заболели зубы...

Сегодня моим брекетам 28 дней... и вдруг что то стало очень ломить зубы, и до некоторых больно дотронуться... Сделала фото, особых сподвижек не вижу... Но может болят, потому что двигаться начали?

28dney.jpg

16.05.2012 - 20:43

Долго я молчала НО!!!! РЕБЯТ, больше не могу, вся уже изъелась...

Последние пару месяцев меня вроде ничего не беспокоило, орт методично отвечала на все мои вопросы, НО на апрельском приеме речь пошла о снятии.... с тех пор я вся на нервах. Орт сказала, что до лета обязательно снимет мне брекеты, вот только промежутки между зубными рядами закроет, ага. Дала мне такие мааааленькие тяги(в несколько раз меньше по сравнению с теми, что я одевала с верхней тройки на нижнюю шестёрку). И пошла я счастливая домой.
Вот уже 28 мая прием, а мало того, что сдвиги слабые, так я еще обнаружила что у меня ШАТАЕТСЯ ЗУБ!!! Читать далее »

Вопросиккк...

у меня вопросик возник - все тут пишут о швах каких то, саморассасывающихся, например...
Вот интересно - а ранку после удаления зашивать обязательно?? Даже если это четверки??
У меня просто есть знакомые, которым удаляли 6-ки и ничего не зашивали... Просветите!

У меня квадратная дуга!

Пришла я сегодня на прием, с момента установки бс на ВЧ прошло ровно 4 недели. Врач спросил: «Ну что, помучаем тебя? Установим дугу посильнее?» Я аж запрыгала на кресле от неожиданности!!! А вот НЧ поставят только в июле, чтобы зубы на ВЧ не скусывали брекеты на НЧ. Как сказал орт, с НЧ особых проблем нет, там все быстро встанет (банальная скученность как и у многих), а вот с ВЧ нужно поскорее разобраться, чтобы можно было начать сдвигать зубки на место удаленной 5-ки, тем самым освобождая место для моего ретинированного клыка. Читать далее »

я знаю, что...

я знаю, что обнаглела, но я позвонила ортодонту с предложением снять верхние брекеты... Ведь с ними уже несколько месяцев ничего не делаем, ну я и решила, что все, можно снять. Нижние - пожалуйста, пусть стоят хоть еще столько же.
Да еще мама снова долго объясняла, что пора бы уже убирать брекеты, хватит уже.
Конечно, я не права, снимать ничего пока нельзя. Но 26 напросилась на прием - может, что-то придумается.

и к вопросу про улыбки:
вот чуть-чуть улыбнулась, а уже лезут брекеты. Еле прикрываю, и всего вот на такой улыбке: Читать далее »

16.05.2012 - 15:00

Установка на НЧ

На последнем приеме орт назначил дату установки брекетов на НЧ, и буквально через несколько дней я узнала, что через 3 дня после установки у меня важный экзамен... Вот думаю - правда что нч больше болит первые дни после установки? боюсь что из-за этого у меня и голова будет болеть, как уж тут готовиться и сосредоточиться на экзамене... Стоит попросить перенести дату установки на недельку?

16.05.2012 - 14:41