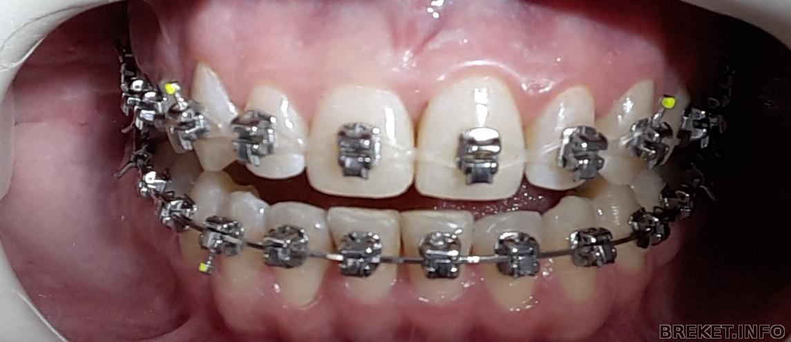
Добрый вечер!)
Если помните, у меня стоит аппарат Дерихсвайлера, и одно кольцо из двух, закреплено на временной коронке... Так вот произошло ЧП-коронка треснула, то есть мало того, что аппарат активировать пока нельзя, так еще есть риск того, что все мои конструкции надо будет снимать( но это пока мои догадки, все же я надеюсь на то, что ортопед сможет спасти ситуацию, но об этом мы узнаем только в субботу) 
Всем удачи!