Исправление прикуса. Ждать смены всех зубов или уже пора? 10 лет. Поздняя смена зубов
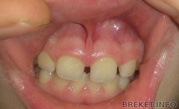
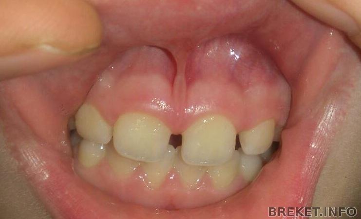
Здравствуйте, мы пришли к ортодонту с вопросом подрезать ли дочке уздечку верхней губы, чтоб убрать диастему, между верхними резцами (по направлению терапевта). Но врач сказал что его наша уздечка совсем не беспокоит, он видит проблему в прикусе, а конкретно в том что нижние зубы сильно высоко заходят за верхние. Им предложено было лечение: изготовление пластинки которая не даст смыкаться жевательным зубам и они через пол года подтянутся вверх и исправят низкий прикус (он его так назвал) Еще дополнительно пластинка сдвинет в кучу 4 верхние резца и изменит их наклон немного вовнутрь (Зачем? Зубы действительно не туда смотрят?).
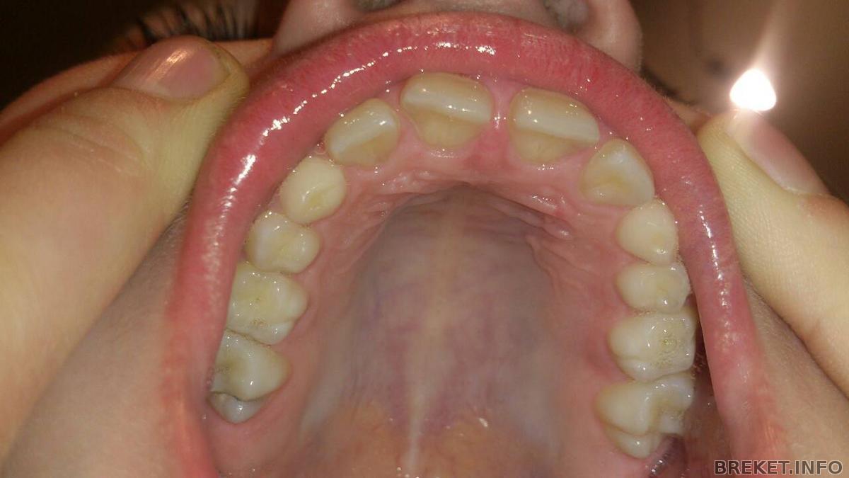
Панорамный снимок сделан 3 дня назад, дочке 10лет и 3мес, а зубы как у 7летней, со слов доктора Причина такого прикуса доктор сказал поздняя смена зубов (первые зубы вылезли в 9,5мес) К сожалению у меня есть только панорамный снимок, пока других врач не просил делать, поэтому максимально попыталась отобразить ситуацию на дополнительных фото.
Вопрос стоит ли сейчас ставить пластинку или нужно дождаться пока вылезут все зубы, ведь постоянные жевательные зубы будут других размеров разве стоит сейчас "подгонять" прикус если еще болишинства постоянных зубов нет. Может я что-то не так себе представляю. Боюсь навредить. У меня самой диастема всю жизнь и она меня особо не напрягала, я уже готова была и у дочки ее не трогать, но тут вопрос теперь что делать с прикусом.
Другой ортопед у которого мы были на консультации ранее не просил снимков совсем, им же и было предложено подрезать уздечку и якобы тогда передние резцы вероятней всего сами сойдутся когда будут лезть клыки и столкнут их в кучу.
Ответы
Спасибо большое за столь быстрый ответ, прочла статью по ссылке (почему-то ранее ее пропустила) очень интересно написано, ждать не будем, будем действовать, но хотелось бы "держать под контролем" процесс лечения, а для этого я все-же не до конца поняла суть проблемы, получается нужно нижнюю челюсть заставить выдвинутся вперед и немного в низ? Этого и будем добиваться пластинкой? И еще вопрос про нижнюю челюсть, у вас видела статью где вы описываете о увеличении челюсти с помощью пластинки, там еще видео замечательное, такие бывают только для верхней челюсти, если зубы плотно стоят на нижней, там-же язык, он помешает такую систему поставить?)
"Мое мнение - пока никто не поставил точный диагноз и не определил его причину. Этим и надо озаботиться в первую очередь. " Вот врач сказал что причина поздняя смена зубов. ТРГ не назначал пока врач, наверное когда мы дадим согласие на пластинку тогда будет обследование, я надеюсь, это еще один останавлливающий фактор, может нам какая другая пластинка нужна, понятно ли я объяснила какую имменно собирается поставить врач?
Еще вопрос много у вас написано в статьях про "недостаточность пространства" на челюсти, я вот боюсь если соберут в кучу передние 4 зуба и немного наклонят внутрь сверху это не уменьшит челюсть, а куда потом клыки будут лезть?
будем действовать, но хотелось бы "держать под контролем" процесс лечения, а для этого я все-же не до конца поняла суть проблемы
И не удивительно. Я и сам пока до конца не понял. Диагноза то точного до сих пор нет. Как не было и диагностики.
врач сказал что причина поздняя смена зубов
Это не причина. Под причиной имеется ввиду степень "вины" каждой из челюстей
ТРГ не назначал пока врач, наверное когда мы дадим согласие на пластинку тогда будет обследование
Вообще то сперва должна быть диагностика (определяется ЧТО собственно лечить то будут). А уж после ЧЕМ это будут делать - пластинки-не пластинки, если пластинки, то какие цели им будут поставлены (пластинка это уж очень ОБЩЕЕ название...) Это было бы логичнее...
А "недостаточность пространства" на челюсти, устраняется его получением на челюсти. Развитием зубных рядов проще говоря. При чем здесь соберут в кучу передние 4 зуба и немного наклонят внутрь сверху?
Верхние зубы и так уже в наклоне (см.фото) Куда еще то? Глубокий прикус усугубить?
Только что прочла вашу эту статью "Причины неправильного прикуса" http://ortofil.ru/na-podstupakh-k-lecheniyu/prichiny-nepravilnogo-prikus... теперь поняла что вобще все плохо у дочери полный набор и сутулось и х-образные ноги и вальгусные стопы ((( Я уже и сама представила если ссутулится то нижняя челюсть как-бы заезжает во внутрь, тоесть по сути проблема глобальная и возможно не решаемая, а с осанкой мы боремся уже долго и 4 года танцев не дали "чудо осанки" только в танце она стройная,а в повседневности горбится и никак не поборем это.
Насчет наклона зубов, возможно я что-то не так поняла, возможно в другую сторону собирался врач их наклонять, но про "заодно изменим наклон верхних резцов" точно было озвучено. Извините за глупые вопросы, просто очень сложно решится на лечение когда все до вчера казалось и так вобщем не плохо, кроме щели между зубами.
Щели меж зубами - это тоже признак. Признак избытка места. И тоже надо причину этого искать
В общем правило простое:
1. Выясни ЧТО
2. Поймешь КАК
3. Будет ясно ЧЕМ
Тогда есть шанс на успех. А когда уже говоря ЧЕМ, но не в курсе КАК и ЧТО (и ЗАЧЕМ). Тогда все малопрогнозируемо









Здравствуйте!
Ждать смены всех зубов или уже пора?
Уже пора. Не стоит ждать. Тем паче раз прозвучало нижние зубы сильно высоко заходят за верхние...низкий прикус (он его так назвал) И на фото действительно так.
На самом деле этот прикус называется глубоким. И это проблема скелетная чаще всего (связана с челюстями). Вот здесь почитайте (я отвечал кому то недавно) http://breket.info/consult-doctor/1074491663 Отсюда вопрос: зачем ждать зубов если проблема не в них?
К слову диагноз глубокий прикус, а точнее его причина (которую и надо найти и устранить) выявляется не по панорамному снимку, а по трг в боковой проекции
Мое мнение - пока никто не поставил точный диагноз и не определил его причину. Этим и надо озаботиться в первую очередь. А уже потом предпринимать какие то действия...
По поводу "ждать-не ждать" вот здесь почитайте http://ortofil.ru/detskaya-ortodontiya/kogda-nado-pokazatsya-ortodontu.html
А по поводу "подрезать - само сойдется" вот здесь http://ortofil.ru/detskaya-ortodontiya/diastema.html