а вы все еще ходите без брекет системы? тогда мы идем к вам)))))
каждый день не перестаю удивляться)))) и ни капли не жалею,ни об удаленных зубах,ни об боли которая до сих пор присутсвует))) есть лишь ощущение невероятного восторга и позитива
так что не думайте и не размышляйте,ставьте!!! ставьте брекеты и будет вам счатье,результаты не заставят себя ждать:smile25:
Комментарии
спасибки)))
поздравляю! Отличные подвижки)))
Геката,пасиб)))))))
tysik88
Вы случайно в Испании не отдыхали? А то лицо знакомое...
Вы такая красивая! И вам идут брекеты!
Уже говорила, но еще раз скажу - ЭТО КРУТБЛ!!! Ставьте брекеты!!! +1 от меня
Jamb,нет к сожалению,не отдыхала там
Memento,спасибо за комплимент)
ОлиК,
tysik88 , какие молодцы ваши зубки,поздравляю!
tysik88,
обалденный результат!!!
красивые зубки под стать красивой девушке!!
galchonok,спасибки)))
Dkamov,ой ну совсем засмущали меня,спасибочки
Вот у вас крутой результат! А у меня за месяц очень мало сдвигов(( Может потому, что на двойке дуга не закреплена...
madfantast, на ты)))
у тебя тоже очень заметные сдвиги
просто когда с удалением говорят быстрее результаты) ну а когда двойку тебе подключат,результаты не заставят ждать,да и зубки сейчас расшатаются и дело пойдет быстро
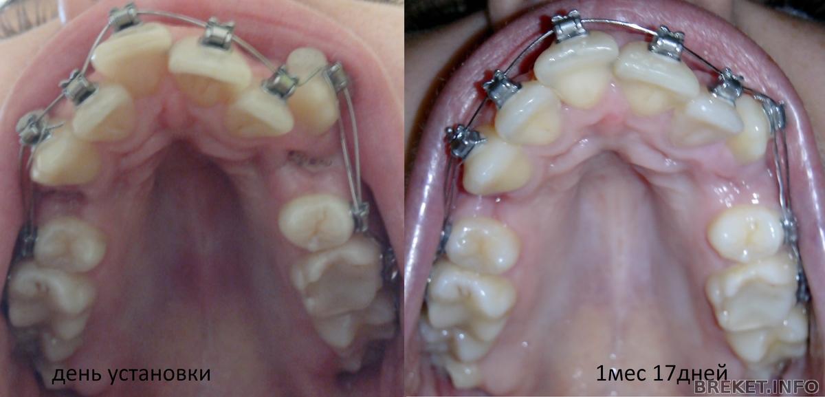
тем более у меня здесь прошло 1мес 17 дней, до этого они у меня тоже медленно двигались) сейчас пройдет неделя-две и они быстрее будут двигаться
tysik88 мне вообще сначала сказали, что 4 зуба удалят, а потом отменили) странно как-то) скорей бы уже двойку подключили, а то туда вся еда забивается
madfantast,без удаления это хорошо) чем больше зубиков остается,тем лучше
мне сразу все подключили,наверное поэтому боль была дикая) так что тебе повезло
tysik88 я бы ради быстрого результата потерпела эту боль) даже не знаю, почему мне не удалили зубы... и бс у меня вроде безлигатурная...
madfantast,да безлигатурная) а зачем удалять если они(зубки) и так влезут и будет все ровно) и соотношение вч и нч у тебя отличное(я так думаю,судя по фото) и все без удаления пройдет хорошо))) а вот мне никак без удаления,зубы не влазили и нч маленькая
Зато улыбка какая у тебя потом широкая будет со всеми зубиками
tysik88 а мне орт даже не рассказал ничего толком о бс и вообще о том, как будет проходить лечение, вот я даже и не в курсе была, почему мне отменили удаление) он вроде говорил, что лигатурные надо ставить, я уже приготовилась, а нет, все по другому оказалось)
madfantast,вообще мне орт сказала что в принципе разницы нет,лигатурные или безлигатурные



Супер! Зубки так хорошо подвинулись за месяц!