Отчет)
Сходила я сегодня и сделала снимок,потом пошла к доктору,который мне лечил этот зуб. Она сказала,что корень сместился,надо ехать со снимком к ортодонту,снимать кольцо,а потом к ней лечить(пломбировать) каналы)))
Спасибо всем за советы!!!)
Комментарии
Осложнения вроде периодонтита и последующего периостита ака флюс я описывать не буду, крайне тошнотворные подробности получатся.
Ха-ха!
Совок! Ну это вообще привет
Не надо мне вот это вот все писать, писатель!
А еще есть правила форума:
Об участии врачей
Врачи, желающие отвечать на медицинские вопросы участников сайта, должны пройти идентификацию личности у администрации сайта. Данное правило действует на всем сайте и не ограничивается разделом консультаций.
После идентификации личности пользователь получает специальный статус "Врач", дающий расширенный доступ к возможностям сайта, например, позволяющий участвовать в сервисе "Консультации" в качестве консультанта.
Должны пройти идентификацию личности - иначе ты просто тролль.
иначе ты просто тролль
Да не пульпит у меня,хватит вам)
Да, в самом деле, чего я доказываю очевидное особе которая себя уже и так зарекомендовала не с лучшей стороны.
Tasha99, сорри за флуд.
Меня и похуже называли. Прояви фантазию! Повесели этот форум, а то мы заскучали.
Таша, хорошо, что все обошлось!)
molly, на кого повесили, грамотная ты наша?
Писец, сказал когда-то что никакие брекеты не выровняют личную жизнь, а только психолог в помощь, теперь это чудо преследует меня везде и всюду и льет мне на голову свою обидку.
Tasha99, а какой диагноз врач поставил?
Ну ты и дятел. Мне не надо личную жизнь выравнивать!
Писец - это в штатах так говорят врачи с 30-летним стажем? Вот умора))
Больше не буду тебя кормить. А то еще лопнешь)
Molly, моя лялечка, пасибки. Цём :-*
Tasha99, так что там насчет фоток?
Molly,Да,я тоже рада,что ничего серьезного)
sabaka_aavaaka,не было времени сегодня скинуть,завтра точно пришлю)
доктор поставил диагноз смещение десен,но точный он скажет после снятия кольца,но там точно не пульпит)
Тьфу,смещение корней*
Таша, а орт что-то сказал? Ведь если шестерка стала заваливаться, нужно это исправлять...
Я завтра к орту пойду,если получится,а если нет,то в понедельник)
Но он пока ничего не сказал)
Я фотки скинуь обещала,сегодня опять не получилось,в анатомичке до вечера сидела,завтра прям точно скину)
и пропала
Я к орту не смогла попасть,времени не было.
Я не пропала,просто заданий в институте много и времени нету,завтра скину,как с компа зайду,с телефона он не грузит фото.
Панорамный снимок кидать?
Но он старый,он сделан тогда,когда на НЧ еще брекеты не стояли и 2 зуба не было вырвано
скинь
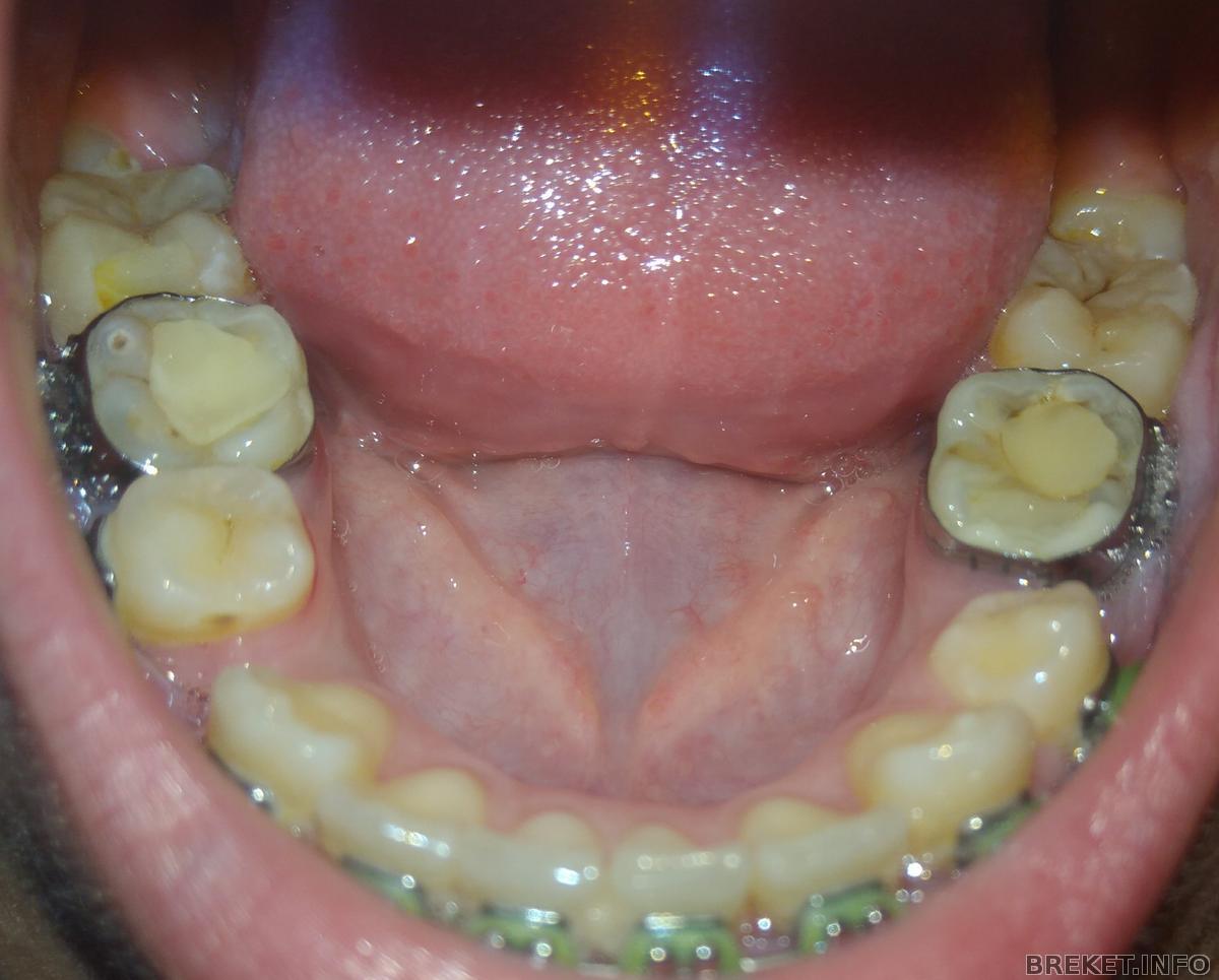
Пломбы на шестерках кстати - откровенная халтура. Их обе надо переделывать, там на обоих вторичный кариес. И на правой сколота эмаль, что чревато растрескиванием зуба со временем. Сверху вроде тоже пломбы есть, плохо видно. Но сколотая эмаль может быть следствием плохо обточенной пломбы сверху.
Странны действия орта, восьмерки ведь явно видны, и если с ними ничего не делать то эффект от брекетов будет недолговечным. Семерки не подключены, интересно почему?
И зубки несимметрично удалены, с одной стороны четверка с другой пятерка.
На счет того,почему семерки не подключены,я не знаю. А на нч удалили 2 разных зуба,потому что они плохие были
Наташ, ты обещала снимок скинуть.
И что с зубиком? Если полечили то сфоткай, покажи.
Я не лечила еще, я пойду а четверг к ортодонту и ему скажу. Снимок я вечером после учебы скину,я забыла в прошлый раз скинуть)



Я думаю не стоит упоминать что при простом кариесе боль кратковременная как реакция на горячее или холодное.
Признак перфорации (когда пульпа так сказать на открытом воздухе) - к холодному и горячему добавляется реакция на кислое, сладкое, острое, соленое.
А ноющая или резкая, тянущая и дергающая, _непрекращающаяся_ боль это признак воспаления пульпы, ака пульпит,.