Отчет)
Сходила я сегодня и сделала снимок,потом пошла к доктору,который мне лечил этот зуб. Она сказала,что корень сместился,надо ехать со снимком к ортодонту,снимать кольцо,а потом к ней лечить(пломбировать) каналы)))
Спасибо всем за советы!!!)
Комментарии
сначала я его лечила в бесплатном кабинете,где мне должны были удалить нерв,а потом пошла в платный,где мне его запломбировали. Но я думаю,что нерв мне никакой не удалили
После такого желание увидеть нормальные пломбы - утопия.
ретейнеров уже нет
и зубы на вч в более хорошем состояние)
и на нч)
Не удаляли восьмерки?
Простите, а Вы точно в меде учитесь? Не сочтите за грубость, но правда, странно как-то.
Да,я в меде,а что-то не так?
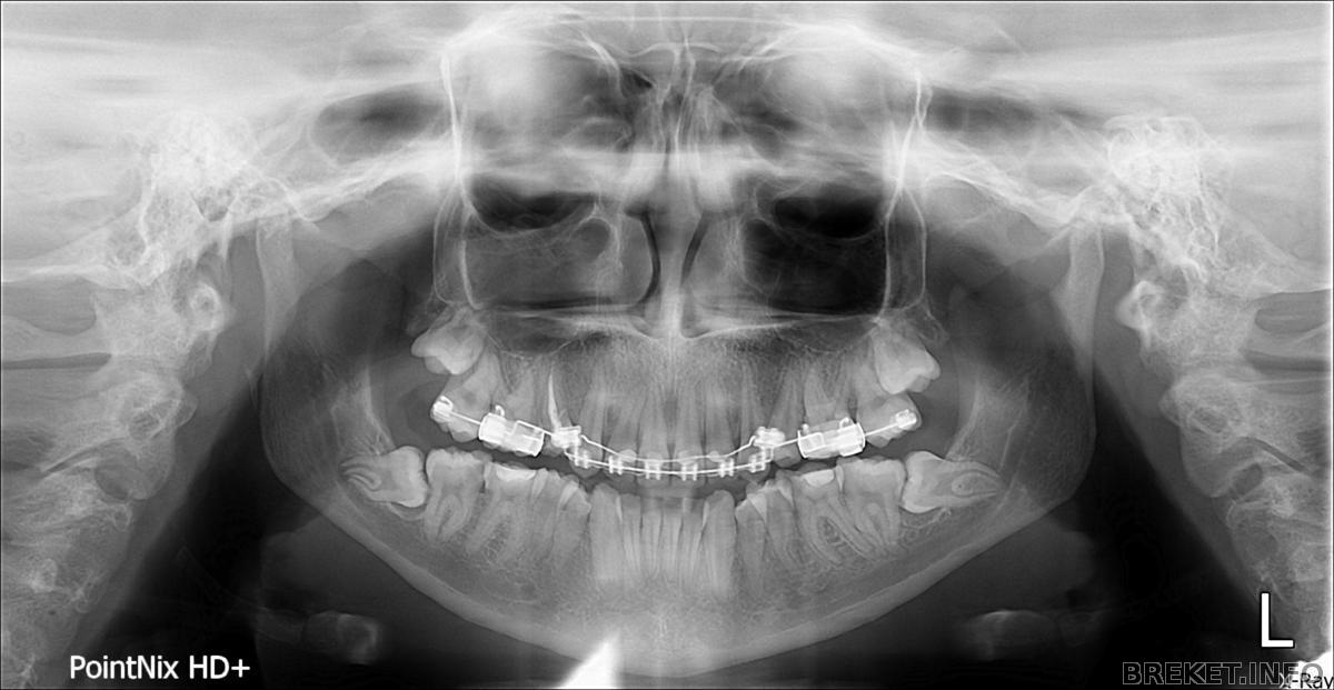
Снимок старый,мне уже удалили 2 зуба на нч и поставили брекеты
Нет,не удаляли. Может потом удалят
Al.. ks, смотря какой материал этой пломбы "на отцепись" : может и эмаль зуба напротив раскрошить.
По поводу снимка - верхние восьмерки опасные. Куда орт смотрит?!
Таша, почитайте про опасности, которые несут такие восьмерки. Про терапевтическое и ортодонтическое лечение - тоже будет нелишне. Просто, чтобы знать, как должен происходить процесс и выглядеть результат.
И да, кстати, не нужно затягивать с зубом, особенно если он перестал болеть. То что он не болит, не означает что он зажил, просто нерв умер. А в этом случае дотянуть до кисты проще простого, а лечить будет ой как трудно и больно. И зубы с кистой в большинстве своем удаляют, не жильцы они, а хронический источник инфекции.
Да кстати насчет больного зуба - там на пятерке рядом была киста еще в момент снимка. Плюс перфорация пульпарной камеры на самой шестерке, видно уходящий вперед и вверх кариозный канал. И вообще - в бесплатной сказали депульпировать, а в платной просто запломбировали. Странно это все. Совковые врачи, бессмысленные и беспощадные, один поставил брекеты не удалив растущих проблемных восьмерок и не подключив семерки, другой заклеил перфорированную пульпу, так и до гангрены недалеко.
Киста была?
Я первый раз об этом слышу
Я удаляла на вч немного десны,для того,чтобы поставить брекеты или кольца на зуб,не помню уже.
Я в понедельник к орту иду. Я даже запуталась,что надо спрашивать)
На счет кисты правда в первый раз слышу
Сейчас нажимать на зуб больно и шевелить его
В общем я пошла к ортодонту,чтобы снять кольцо,а он заболел. На лечения зуба записалась на четверг и надеюсь,что ортодонт,который в поликлиники снимет мне кольцо
Мой выйдет только 19. Еще щека припухла и наживать на нее больно
И на щеку нажимать больно. Но днем зуб не блит,только ночью,даже просыпаюсь от боли
Tasha99, Не затягивай с зубиком, попроси любого орта снять кольцо и лечи. До 19 числа тянуть опасно начиная от опасности флюса (а если щека припухла это уже говорит о начинающемся периодонтите, воспалении верхушки корня. Следом за ним будет киста и единственный метод спасти зуб будет резекция, но и то спасти такой зуб это большая удача.
И мой тебе совет - переделай пломбу с другой стороны, вторичный кариес штука коварная, все будет долго казаться что все ок, а потом в один не очень прекрасный момент от зуба может отколоться огромный кусок и вылечить такое будет ох как трудно.
Ходила сегодня,начали лечить с кольцом вместе)
Мне вскрыли пломбу,убрали гной(флюс был) ,промыли каналы и я с лазером посидела) ахахаха
Завтра я пойду опять,будут расширять каналы,п потом лазер. Пломбу поставят временную до того момента,пока с 8 не разбирусь)
Ой бедная киця. Покажи хоть что они тебе там наделали.
Molly, ну и что теперь? кто в итоге прав, солныфко?)
Задняя и внешняя сзади стенка зуба слабовата, я б на месте стоматолога настаивал на коронке.
Кстати там то что я и подозревал, кариес из под кольца дошел до пульпы, там с задней внутренней стороны черная точка - оно самое, почему я и говорил что нужно снимать кольцо.
периодонтит у меня. Сегодня промыли каналы и под лазером посидела. Но т.к. на зуб еще нажимать больно,но при этом боль уже не такая сильная,расширять каналы сегодня не стали,должны завтра
А так спокойной спала хотя бы сегодня,зуб не ноет)
Мне только 18 лет,какие коронки(
Извини что такое тебе говорю, запустила ты киця зубки свои. Такие красивые зубки, жалко их.



по пломбам я тоже согласен - ИМХО халтура на от...сь сделана, стык между материалом и зубом обычно не виден + пломба должна повторят контуры зуба с углублениями и буграми - иначе и пища не жуется как надо и верхний зуб просто раздавит ее и она треснет.