Дневники

возмущению нет предела или что делать

возникла вот такая вот проблема: я ношу брекеты год и два месяца. когда их только поставила и на протяжении последующего времени я не была особо ничем обременена и могла посещать ортодонта в любое время, а точнее получалось в любое удобное для нее время (чаще всего это было по утрам). не так давно я устроилась на работу. сказала врачу что не могу посещать ее в первой половине дня. на что она ответила что ей это не удобно, ну ладно что-нибудь потом придумаем. потом мы договорились о времени в которое она сможет меня принимать, учитывая окончание моего рабочего дня. Читать далее »

05.10.2013 - 23:04

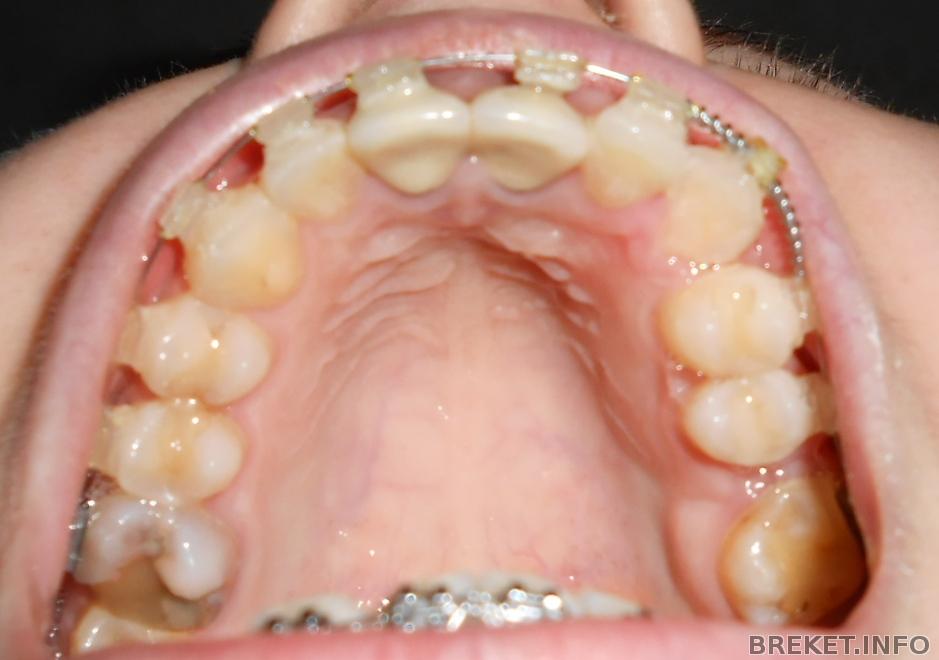
День шестой.

Приветы всем!

Я сфотографировал свои "обожжённые" брекеты чтобы показать вам, как это ужасно.

izobrazhenie_092.jpg

Пожалейте меня, теперь я стесняюсь улыбаться я никогда в жизни не стеснялся улыбаться

05.10.2013 - 23:01

Кличко-Поветкин

Вы смотрите? Кто за кого?)

05.10.2013 - 22:40

Как вы делаете фоты?

Научите как сделать фоку для того чтобы все было видно.
Я пытался свой Nikon в рот засунуть, не получилось))

05.10.2013 - 21:38

7 дней или что тут сказать!

Вот уже 7 дней как моя мечта осуществлена и находится в действии. Конечно же, все внимание семьи приковано к моим брекетам и дырочке в десне. Каждый из членов семьи подходит со словами: "покажи свою дырочку", или "как наш зубик".
Сегодня я уже за собой заметил что ко мне пришли навоки какие-то. Если первые дни чистка была похожа на балет со щеткой, 40 минут одну челюсть (а у меня пока что только на верхней),то сейчас я как "электро веник" вычищаю. Все очень нравиться. Ирригатор конечно же облегчает мне жизнь на 100%. После кофе я включаю эту "шайтан машину" и налета как и не бывало. Читать далее »

Хорошая новость)

Сегодня была у доктора , сказала что четвёрки удалять не будут. Удалят только восьмёрки.

05.10.2013 - 21:02

Полгода!

Даже недумала, что время пролетит так незаметно. Казалось бы только задумалась о брекетах, и тут все понеслось

Только недавно подключили мой злополучный клык, он становится в ряд очень нехотя... Больше тянет двоечку наверх От этого моя улыбка выглядет странно. Надеюсь, что в скором времени все встанет в ряд!
Нижний ряд вообще стоит на месте БС на НС тока месяц с небольшим, так что ждем результатов.
Вот фоточки:

верх_полгода.jpg
Читать далее »

05.10.2013 - 20:43

установили на нижнею челюсть

вчера установили брекеты на нижнею челюсть болят но терпимо. только после еды сильно болят. поставили надкусочные пломбы на следующий день сразу упал один . наверно только у меня токое было . объязательно выложу фото!!!!

последний зуб мудрости((( дико больно( я не хочу терпеть это снова...

ну вот и началось.... все зубы мудрости выросли,кроме одного на нч..... ох как вспомню про их рост... на вч все выросло быстро очень и почти безболезненно)))) а вот на нч..... боже как вспомню,так в дрожь бросает... короче начал у меня первый зуб мудрости на нч расти...сначала чесалась десна... потом затишье на несколько месяцев...зуб немного вылез и началось.... о боже как вспомню... дикая боль... Читать далее »

05.10.2013 - 19:56

Ребят, посмотрите, есть хотя бы малейшие сдвиги.

Ребят. сделала фотки спустя месяц, типа коллажика, посмотрите, есть ли малейшие изменения. Спасибо заранее за просмотры и ответы. А то мне кажется, что все стоит на мертвой точке.(((