Дневники

Сильно шатается зуб

Нижняя 6-ка, на которой надкусочная пломба сильно шатается. Такое чувство, что он выпадет. Еще он немного наклонен вовнутрь и от надкусочной пломбы такой высокий, что при накусывании он еще больше нагибается вовнутрь, кажется, что если сильно прикусить или жевать этими зубами, то зуб просто выломается Постоянно языком его поправляю и шатаю Так неприятно...

26.06.2013 - 14:35

Первый приём после установки

Поменяли дуги и плюс надели эластичные цепочки на НЧ=))

Первый прием и смена дуг и лигатур

уже скоро смена дуг,ура-ура

dsc_1856.jpg

ровно на 5 месяцев я заходила к орту подпилить дуги,т.к. они врезались мне в щеки..)
в след. раз,сказала будем менять обе дуги.. чему я очень рада..)))
на нч. это будет вторая дуга
на вч - третяя

смена дуг и все переходы на след. этапы - лучшее что может быть в брекетоношении..потверждение действующего процесса .

dsc_0083.jpg

26.06.2013 - 12:51

Нужна помощь

Девочки и мальчики помогайте!! Вчера воспалилась десна в районе восьмерки, я так думаю это она у меня так вылезает!!! Ортошо моя сказала ее пока не удалять, растет она ровно. Раньше конечно побаливало, а сейчас прям рот не могу открыть, опухла десна и горло. Подскажите может у кого-то было такое, как снять воспаление????

26.06.2013 - 12:28

ГОД!!!

Прошёл год с момента установки брекетов! А я даже не знаю радоваться или нет. Всё так медленно происходит... Всё ещё так далеко от идеала...

1year.jpg

26.06.2013 - 09:57

...

Привет! Я тааак соскучилась! как ваши дела? Как зубки? Моим брекетам сегодня 18 дней! А я уже совсем к ним привыкла, они мне нравятся! Хотелось бы узнать, как относятся ваши друзья к брекетам? И еще, после установки брекет системы вы похудели?
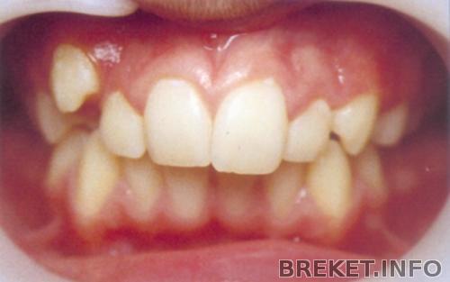
И еще, недавно разговаривала с девочкой. Моей давней знакомой. Ей сейчас 18 лет, а в 12 или 13 лет она носила брекеты. У нее были идеально ровные зубки, идеальный прикус. НО правый клык вырос сильно выше линии вч.
Что-то типо вот этого, но клык был гораздо выше.

24792751.jpg
Читать далее »

26.06.2013 - 09:54

Кто поставил брекетули в ноябре прошлого года, как успехи, как вобще ощущения, долго ли еще вам носить их?

Кто поставил брекетули в ноябре прошлого года, как успехи, как вобще ощущения, долго ли еще вам носить их? Интересно быстро ли у меня продвигаются дела или так себе..

26.06.2013 - 09:24

Визит к ортодонту...не хватает мне храбрости, ребятки...

Всем привет! Вчера состоялся очередной визит к ортодонту, на отметке 5мес 6д ВЧ и 2мес 26д НЧ.
Сменили дугу на НЧ на 16х25, сменили чейн, зубы так болят, что просто слов нет.
Ортофей сказал "динамика хорошая" и у меня прорезалась 8ка, и так задумчиво "а мы 6ку удалять не собирались?"...
я прошамкала "собирались,на этапе жестких дуг", он "значит в следующий раз пациент приходит к нам без зуба"....
записали меня на 5 июля.... Читать далее »

26.06.2013 - 07:45

В архив

Нижней челюсти уже почти неделя, страшный зуд и неприятные ощущения постепенно уходят, желание содрать к чертям брекеты становится все меньше) на верх поставили третью по счету дугу, теперь кусать я точно не могу, боюсь что-нибудь отвалиться случайно.
Попросила цветные лигатурки, поставили розовые, вроде бы смотрится симпатично, да и вообще все эти сапфиры дико радуют меня, и кажется, что даже украшают, потом и снимать не захочу) уже представляю как они будут радовать глаз на ровненьких зубах:)
В общем хожу вся такая в мечтах о красивой улыбке, чего и вам желаю) Читать далее »

26.06.2013 - 00:07

Готово!!!

Самый лучший день в моей жизни!!! Брекетов больше нет!!!
Снова привыкаю к гладким зубам! И улыбаюсь так, чтобы все видели зубки!!
Снятие прошло очень быстро! И после ортодонт рассыпался в комплиментах) так что настроение было на высоте!!!
И таким оно остается и сейчас!

image.jpg

25.06.2013 - 23:02