Всем привет! Решила вести дневник своего лечения на брекетах. До сих пор не понимаю, как я жила с таким ртом... Обо всём по порядку. С детства было понятно, что НЧ у меня больше, чем верхняя. В возрасте 10 лет повели в орту, сделали пластинку, которую я успешно выкинула через неделю. Читать далее »
Всем приветик!
Вопрос конечно немного глупый,но на данный момент очень актуальный.
Недавно вот рассталась с парнем. Хочется каких-то новых отношений,чтобы забыть все что было. Но я как-то не представляю как буду ходить на свидания с моими металлическими брекетами. Я то их конечно люблю,в принципе никаких проблем с улыбками и общением нет.Но люди не все понимают что это вообще такое,что это временно и нормально.
Кто сталкивался с этим вопросом? Как молодые люди реагируют на девушек с брекетами?
Сегодня вечером когда чистила зубы присмотрелась к дуге. На 2-х брекетах она вставлена в паз. У самой вставить ее в паз не получилось. Вчера все дико болело после смены дуги и установки чейна, что я на это не обратила внимание. Возник вопрос: так должно быть или все таки она выскочила из брекетов? Попыталась сделать фото, но там дугу почти не видно.
Неоднократно сталкивалась с проблемой когда я не могу нормально поесть в кафе.
В ресторанах спасенье - бутылочка воды. Полощу рот и все нормально. Потому как в ресторанах в уборных всегда пусто практически.
Но как быть в кафе? В них же столько народу... там не то, что рот сполоснуть, а руки нормально не помыть, ибо очереди (макдак в пример).
Поделитесь опытом
Мне кажется, изменения небольшие уже есть, что меня радует. Двоечка справа пытается занять свое законное место в ряду, ну и левая двойка получше встала.
Первые подвижки придают столько сил! Будем-будем работать и ждать мою голливудскую улыбку....через 2 года, хи-хи
Заметила свою кривую улыбку, даже плакать хочеться.... смотрите сами
Скажите она станет ровной? Если не станет это будет очень печально.
Когда я была вампирчиком улыбалась и смеялась, а сейчас грусть тоска(
Даже при закрытой улыбке она не ровная
Всем привет! Постоянно читаю посты про День Рождения брекетов....чет я пропустила все такие даты!...)
Могу сказать одно, я не проникаюсь к ним огромной любовью и вобще они мне ужасно надоели! Хочу провести языком по зубам и не чувствовать их губами! Еще страсть как достало выковыривать из под них еду после каждой съеденного кусочка!
Оооооох....выговорилась!
Но есть и положительные моменты, причем очень и очень значимые! Я вижу резкльтат и мне нравится, поэтому все вышеперечисленное полная фигня, которую спокойно перетерплю до конца лечения)))))))))) Читать далее »
Внезапно накатило что-то, теперь боюсь, что после снятия щеки и губы так и останутся "висеть", как будто под ними что-то есть. А еще, что челюсть будет слишком "выпирать". Исправляют мне, вроде, дистальный (нижняя челюсть сзади верхней) прикус, она всегда сзади болталась. А тут на тебе и вся вперед выехала. В общем, у меня фобии и ПАНИКА, господа брекетоносцы
Привет всем!
С сегодняшнего дня я счастливый обладатель (и носитель ) БС. Моему счастью нет предела
Я знаю, нас всех объединяет одна проблемка... Респект и уважуха тем, кто не комплексовал по этому поводу и улыбался, не смотря ни на что, во все свои 32. А вот я стеснялась. Недавно пересматривала фотографии и поняла, что везде у меня либо лицо кирпичом, либо ЗАГАДОЧНАЯ улыбка Джоконды Читать далее »
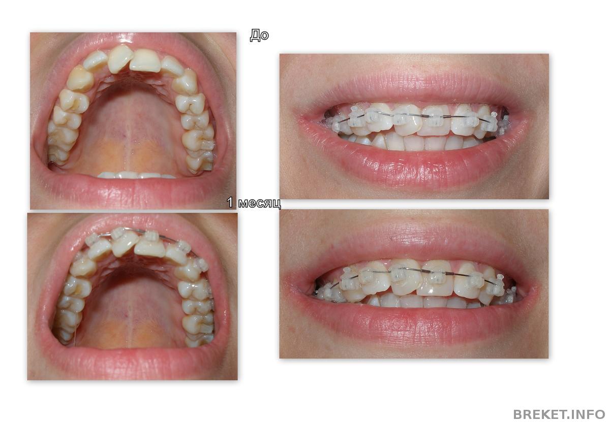
восемь дней, как мне установили брекеты на верхнюю челюсть.
Есть у меня одна слабость - это фастфуд. Божечки мои, как я люблю биг тейсти или фиш ролл. За картошку фри с сырным, горчичным или барбекю соусом я готова отдать многое. Так уж получилось, что сегодня я оказалась в макдаке.
Все началось и закончилось картошкой по-деревенски, я ломала ее на кусочки руками и перемалывала своей одной состыкующейся надкусочной пломбой ))) мой мч сказал: "хочешь заставить Лёлины челюсти работать - отведи ее в макдак" ) И скажу я вам, что за восемь дней я впервые ела пищу, не перемолотую в блендере. Читать далее »