Дневники

НАКОНЕЦ-ТО \о/ +1 к моему арсеналу терминатора, ехехехе

Сходила сегодня к ортодонтше.
Сегодня у неё последний день работы и принимает всех моих несчастных собратьев нескончаемой вереницей, одного за другим... Читать далее »

Невезет так с детства

Уже третья неделя пошла как я лежу в больнице с панкреатитом... кушать можно только каши и овощные супчики пюре.
Всего полтора месяца в брекетах и только я начала нормально кушать, как пришел он, сюрприз- панкреатит.
Невезет так с детства, это точно!
А сегодня в отделении умер мужчина с панкреатитом....стало как то печально,как то не справедливо все это.
Кто- то здоров и счастлив, а кто- то просто мертв... хоть я его не знала, но слезы накатываются сами по себе.
Вывод один берегите свое здоровье! Читать далее »

Вот такой вопросик!

Скажи слышала некоторым после снятия БС подпиливают зубы, это не вредно? Потом в дальнейшем это на зуб не влияет?Хочу клыки подпилить слишком они большие, даже на НЧ стоим ровно, а большие, хочется чуть меньше!!!))))))

14.06.2013 - 17:11

Учимся улыбаться!

Привет!
Третий день ношения брекетов подходит к концу)
Сегодня,я решила начать учиться улыбаться..ведь,через н-ое кол-во времени у меня будет замечательная улыбка!
Это оказывается трудно..преодолеть отвращение к своим зубам,и начать улыбаться..тем самым показывая их другим.
У многих такая проблема?помогайте мне!:)

image.jpg

14.06.2013 - 16:16

Урааа...поехали!!!

Сегодня утром наконец наклеили кнопку на двойку,а значит началось её движение. Никогда ещё не было так приятно, что она предательски ноет. Встречаемся с ортом через неделю, подтянем нитку ещё.

кнопка ( 9 мес) .jpg

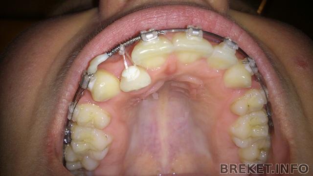
14.06.2013 - 13:18

Коллаж 3 месяца ВЧ

БС ВЧ через 3 месяца

bs_vch_1_nedelya.jpg

А это пластинка на НЧ-4 месяца. Через три дня на фиксацию.
plastiny.jpg

не хотите тратиться на снятие?

действует отличное предложение!
новый метод снятия брекетов,практически за даром и без взяких болезненных ощущений и стресса!!
всего лишь нужно купить килограмм морковки,и забыв о цене брекетов,о всех мучениях через которые вы прошли,
нужно лишь избавить разум от этих мыслей и насладиться сладким и чуть островатым привкусом этого плода куснув как можно глубже.
после такой процедуры вероятность того что вы избавитесь от большей части ваших брекетов очень близка к 200 из 100

проверенно на личном опыте.

14.06.2013 - 00:30

Давайте посчитаем, сколько человек заходит на сайт за сутки?

Поехали

Сергей, пишу Вам тут, чтобы не портить статистику: я подозревала, что здесь должно быть что-то вроде счетчика)) Но, видимо, многолетнее отсутствие на форумах не прошло для меня даром)) Забыла, что и где смотреть) Нашла только инфу с единовременным подсчетом посетителей

Счетчик показывает какие-то невероятные цифры!! Неужели тут бывает столько народищу!!! о_О

СЛУЧИЛОСЬ!

Дорогие коллеги! Вошла в ваши ряды. Спасибо за наличие вашего сообщества - это очень большая психологическая помощь на этапе подготовки и надеюсь на всех последующих этапах ))

Фото не сделала до установки и после - и теперь пожалела, т.к. возникло много вопросов.

1) Брекеты на "задних" зубах должны отличаться от передних? Я вижу как бы другой замок, торчит вверх и мешает. Так и должно быть? Читать далее »

13.06.2013. 21 день до установки брекетов

Вкусняшка

Добрый дененек. Дожили))) Я считаю дни до установки брекетов. Раньше я и не задумывалась о том что мне нужно выпрямить зубы т. к не считаю свой случай критичным, но улыбаться во все 32... ой простите в будущие 30 Читать далее »

13.06.2013 - 20:37