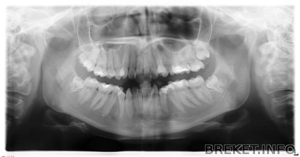
8-ки еще не прорезались, орт про них ничего не говорил, удалять будем 5-ки. Я боюсь, что в процессе лечения мне скажут удалять зубы мудрости =( а это, по-моему, самое ужасное, особенно непрорезавшиеся...
А еще меня смущает 8-ка на ВЧ справа, которая стоит бок о бок с дистопированной(!) 7-ой (на снимке все это дело слева и не совсем понятно, потому что друг на друга они залезают)...что-то я за это волнуюсь