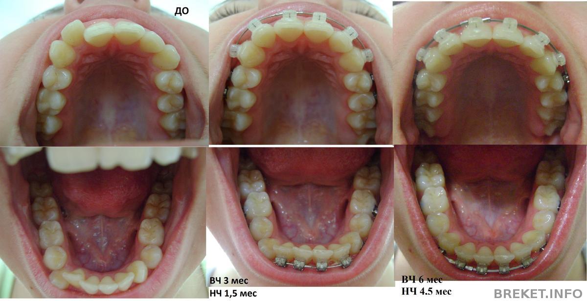
Итак, миновало половина года с того момента, как я обзавелась железной челюстью... Не было ни одного дня, чтобы я вдруг хоть на минутку пожалела о принятом решении, потому что так круто наблюдать,Как твои зубы становятся роооовными!!! 
Что имеем к сегодняшнему дню..
Более-менее ровные зубки наверху,внизу, конечно, еще совсем бардак, зубы наклонены вперед, щели везде, но все еще впереди))) И там, и там стоит по дуге 14*25, следующая смена через пару недель на ВЧ.
Читать далее »