Дневники

День установки. Уже скоро

Hi guys! Наконец-то завтра наступит этот долгожданный день - день установки брекет-системы на НЧ ! Эти 3 недели моих ожиданий пролетели очень быстро и незаметно. Немного волнуюсь и в то же время радуюсь, что наконец буду постепенно обретать правильный прикус и здоровые зубки . А какие эмоции охватывали вас за день до установки брекетов?

26.11.2012 - 17:42

Квадратная челюсть

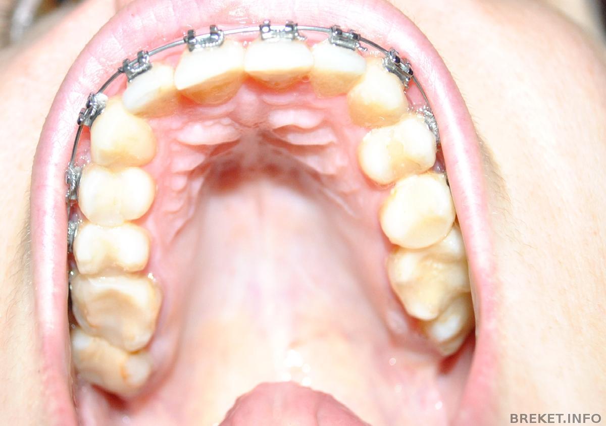
Привет всем!!! Вот и прошло 4 мес, как я установила БС на ВЧ. Зубки ровняются, становятся в ряд, но почему-то челюсть квадратная. А должна быть овальная.... Может мало времени еще прошло и напрасны мои волнения??? Но это меня беспокоит((((

dsc_2220.jpg

26.11.2012 - 17:07

Ищу поддержки

Здравствуйте участники этого замечательного сайта. Давно просматриваю ваши дневники. Сопереживаю каждому из вас.Но сегодня я зарегистрировалась, как будущий брекетоносец.Итак. Мне 25 лет. Читать далее »

Манипуляции перед установкой.

Мне моя орт хочет в один день сделать слепки,сфотать меня и сразу установить БС на ВЧ.На нижнюю после пару месяцев.Но почитав ваши дневники,узнаю,что вам делали слепки потом рассчитывали лечение и только потом устанавливали БС и клеили брекеты на определенные места...Мне такого не делали,она сразу хочет установить объяснив это тем что она уже сталкивалась с похожей ситуацией и примерно понимает что на данном этапе надо делать....Правильно ли она поступает ... или это просто я начинаю паниковать по пусту.Ведь она же сделает слепки.Это просто чтобы не терять времени..Кому как устанавливали? Читать далее »

Первый..

Сегодня сходила на первый плановый прием к ортодонту) Ничего особенного не случилось, как и предполагалось) Отофея немного обрезала дугу, подтянула ее. Заметно так подтянула, сильно почувствовалось. А то за месяц уже привыкла, не чувствовала брекетов совсем) Обрадовала, что процесс медленно, но идет. Зубки двигаются. Между единичками стала щель появляться, воспринимаю ее как показатель движения зубов, ну и плюс боль в двойках. А так, больше внешних признаков движения не наблюдается... А еще поменяла лигатурки, прозрачные на серые металлик. Мечтаю о розовых или зеленых.. Читать далее »

Сегодня осознала, что нижние брекеты мне и ставить-то некуда О_О

Размышляла я сегодня ночью о том, что поставят мне скоро и нижние брекеты. А потом подумала, стоп... У меня же верхние зубы закрыают нижние, а клыки дотягиваются до низа нижних зубов и расстояние между ними пара милиметров. Так же, нижние зубы у меня всегда касались верхних у корней, там, где десна начинается. Если на низ поставить брекеты, они туда не влезут, либо у меня ваще всегда рот будет открыт. в общем хрень получается О_О При чем мой орт хотел поставить мне брекеты в первый же день на обе челюсти о_О но смиловался, обосновав болями и пока что только наверх поставил. Читать далее »

26.11.2012 - 13:14

Опять ступор??

Товарищи!!! ох ты прошло уже ооой как много 1 год 8 месяцев ровно)) низ чуть меньше 1 год 3 месяца 13 дней, но тоже знаете ли не 3 дня))
Сходила 25.11 на прием со списком вопросов, подготовилась)) благо народу у орта не было и я все успела задать, правда она даже расстроилась, что так мало вопросов)))) ожидала большего!) хотя мой прошлый орт меня бы выгнала после первого вопроса уже - лень ей общаться было со мной)
Вот фото сразу, чтоб понимать о чем я))

image.jpg
Читать далее »

26.11.2012 - 13:13

первый пост и моя история)

Привет всем! Расскажу свою историю) В начале этого года задумалась о брекетах. Две мои сестры поставили, одна уже сняла, ее результат меня вдохновил) В марте пошла вылечили кариес, потом сходила к орту на прием, сказала, что у меня дистальный прикус и нужно ставить брекеты на обе челюсти. Город у меня небольшой с Даймон они не работают, я так думаю, хотя не спрашивала о керамических брекетах. Решила сразу метал ставить, думаю они быстрее справляются, да и в разы дешевле. Только 8 октября мне установили брекеты!)) Я сначала думала, как же я в них буду ходить. Читать далее »

26.11.2012 - 12:51

Плиииз, подскажите зачем нужна и принцип действия данной конструкции?

Поставили какую-то новую конструкцию, как назвала орт "рожки" , кто-нибудь носил такое? Может кто-то знает для чего они и принцип действия? Никакие резиночки, тяги на них не одеваются и одеваться в дальнейшем не будут, а вот зачем они врач так и не объяснила толком!

img_0002.jpg

26.11.2012 - 10:52

Послезавтра!!!!

Послезавтра их снимают!!! Я не верю своему счастью
Кто снял уже, это очень страшная процедура?

26.11.2012 - 10:19