Дневники

Заковали )))

Ну вот в субботу меня заковали верх - Даймон Клир, низ - Дамон Кью. Долго ждала этого дня, но чтобы прям рада, я не скажу: все болит, есть толком не могу, губы натирает, верхняя челюсть как будто впереди меня но я морально ко всему этому готова, поэтому ради результата потерплю Просто пока не верится, что когда-то я смогу жевать и полноценно питаться Пока все мысли о боли и о еде

26.11.2012 - 06:18

брекеты б/у

скажите а после снятия брекеты кому нибудь возвращали? возможно ли их повторное использование? может б/у тоже ставят

25.11.2012 - 23:07

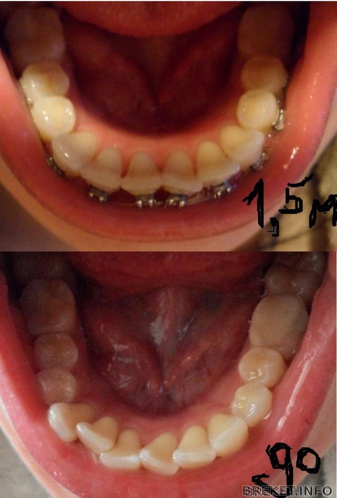
Снова с вами

Давно не отписывалась. Решила обновить дневник и так..
на данный момент срок:
ВЧ 1 год 2 месяца 22 дня
НЧ 1 год 27 дней

Думаю, что уже скоро снимаем.

Ортодонт направила меня опять на панорамный снимок, посмотреть на единицу (которая стерлась внизу), чтобы может быть ее попробовать еще опустить. Дала тяги на месяц.
И нужно очень срочно лечить двойку..

фото:

img_9334.jpg
img_9335.jpg
Читать далее »

25.11.2012 - 21:07

HELP!!!!!!!

Здравствуйте дорогие брекетоносцы!!! Девочки, посоветуйте мне, что с бреками??? Фото не очень чистые", но видно, что бреки на верхних однёрках наклеены выше... (((может ли это влиять на положение зубов??? орт никак не может их поставить ровно, стоят домиком... говорит типа, что зубы такой формы... я видела в инете (фото) и похуже... но ставят же!!! завтра мне на приём, опять будет пудрить мне мозги((( утром записалась к другому орту, на консультацию
обещанные фото закачала. Всем ещё раз спасибо, кто откликнулся!!!

25.11.2012 - 21:00

так странно

-что это пролетело?
-это полгода. они тут часто пролетают. (с)

25.11.2012 - 20:20

У кого Clarity SL саморегулирующиеся брекеты) ауууу

Скажите, как часто вы ходите на коррекцию и что вам делают на ней. Я хожу каждый месяц и каждый месяц мне вынимают на НЧ дугу с ставят такую же, ни толще, ни прямоугольную, в интернете нашла что данная система позволяет увеличить интервалы посещения орта до 8-10 недель. Меня разводят на деньги((

25.11.2012 - 18:25

моё "лечение без удаления"

Полтора года назад мне предложили лечение без удаления зубов. Я уже писала в дневнике как была рада этой новости и не могла поверить счастью))) Так вот результат такого лечения- удаления четырёх зубов мудрости!!!!!! видимо для врачей это не считается удалением вот и верь после этого людям!

Полгодика ВЧ

Ну что, вот и мои полгода промчались!Честно, уже не представляю свою улыбку без брекетуль, снимать не хочу-боюсь!!Поэтому наслаждаюсь тем, что есть, а есть уже достаточно

Полгода ВЧ, НЧ 5 месяцев 3 дня

Полгода ВЧ, НЧ 5 месяцев 3 дня

ВЧ полгода

НЧ 5 месяцев 3 дня

Общий вид так сказать

25.11.2012 - 13:52

Моя прелесть))

Вчера наконец забрала свои брекеты, дуги и набор юного садиста)) Damon Q оказывается такие маааааленькие, такие красивые)) жду не дождусь дня, когда мне их поставят)

Мои девайсы

25.11.2012 - 12:24