УИИИ всем привет!!! 
Ну вот остались считанные дни, точнее 8 дней до СНЯТИЯ
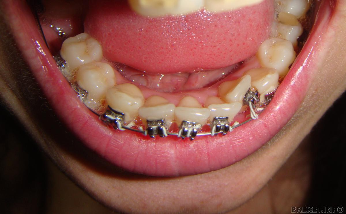
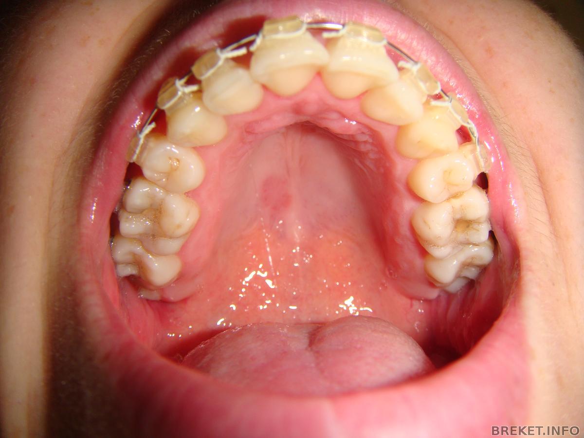
аеее, я так почти счастлива!!! есть конечно недоработочки, но это больше косметическое, двоечка не совсем ровно стоит,но она и длиннее чуть на доли миллиметров другой и это не видно особо тем, кто не в курсе)) прикус стоит неизменно и ровно, тк тяги уже не ношу! а то раньше на ночь как положено одевала-утром щели, вечером все ровно, сейчас все без неожиданных щелей и это радует! 1,5 года так быстро прошло... 
Вобщем, считаю дни и предвкушаю!