Дневники

Скоро снятие...)

Ну вот и подходит к концу лечение...) На последнем приеме ортофея сказала, что будем снимать в ноябре) Ощущения не совсем понятные...Буду скучать по железочкам моим!

Ура, ура, сняли ! =)

Всё )) Мне сняли брекеты на НЧ в прошлое воскресенье. А ВЧ сняли еще раньше, в сентябре ))

Нужно будет сфотографироваться и Вам показать))

Нижняя челюсть

Всем привет!Пару дней назад мне поставили БС на НЧ и все опять вернулось:боль,воспаленная слизистая рта,натирание дугой,кроме того с 4-и два раза подряд отклеивался брекет,не помогла даже надкусочная пломба,вот в понедельник пойду клеить в третий раз начинаю по-тихому раздражаться.....неужели и это пройдет,а ребят?????

20.10.2012 - 18:52

Люминиры? Кто сталкивался?

После снятия хочу 2 зуба подкорректировать с помощью люминира. Кто-нибудь проходил это? Может у кого-то уже был пост про это? Верхние двоечки отличаются безобразной формой:(

20.10.2012 - 18:22

Жду

Кто нибудь так же как и я сильно ждет приемов к орту? Вот я вообще без него два месяца сижу, скучно ниче не болит, а хочется ощущений. Жду следующего вторника как праздник какой-нибудь. Очень уж хочется узнать, как процесс идет, а то я сама то не понимаю когда прикус исправится поскорей. ХОЧУ ХОЧУ ХОЧУ.
И как всегда, Всем быстрых выравниваний зубов*

20.10.2012 - 15:14

Начало....

Привет всем!!!!!Собираюсь ставить брекеты на ВЧ...Ортофея сказала, что по причине отсутствия двух зубов на НЧ Нужно удалить 4-ки на ВЧ.....Сегодня удалила одну, во вторник надо еще одну..Больше боялась...Неприятно только укольчик...а удаление совсем ни капли...Не дождусь 6 ноября...когда приклеят :smile23Ребята всю жизнь мечтала иметь ровные зубки и улыбаться показывая зубки Если вам удаляли 4/ки..напишите пож/та не осталось ли расстояний между зубами после снятия...

20.10.2012 - 14:17

Караууууул! Проглотила брекет! Что делать?

Сегодня проглотила брекет 7-й с крючком...рвота не помогла...чё делать? Это опасно??????????

20.10.2012 - 13:59

почти год...

Вот уже прошел почти год...Даже не верится.Ретинированный клык уже вылез,27-го орт приклеит к нему брекет.Остальные зубы все уже ровненькие,осталось клык на место поставить и поменять угол наклона на ВЧ(хотя я не представляю себе вообще как это делается)

20.10.2012 - 10:22

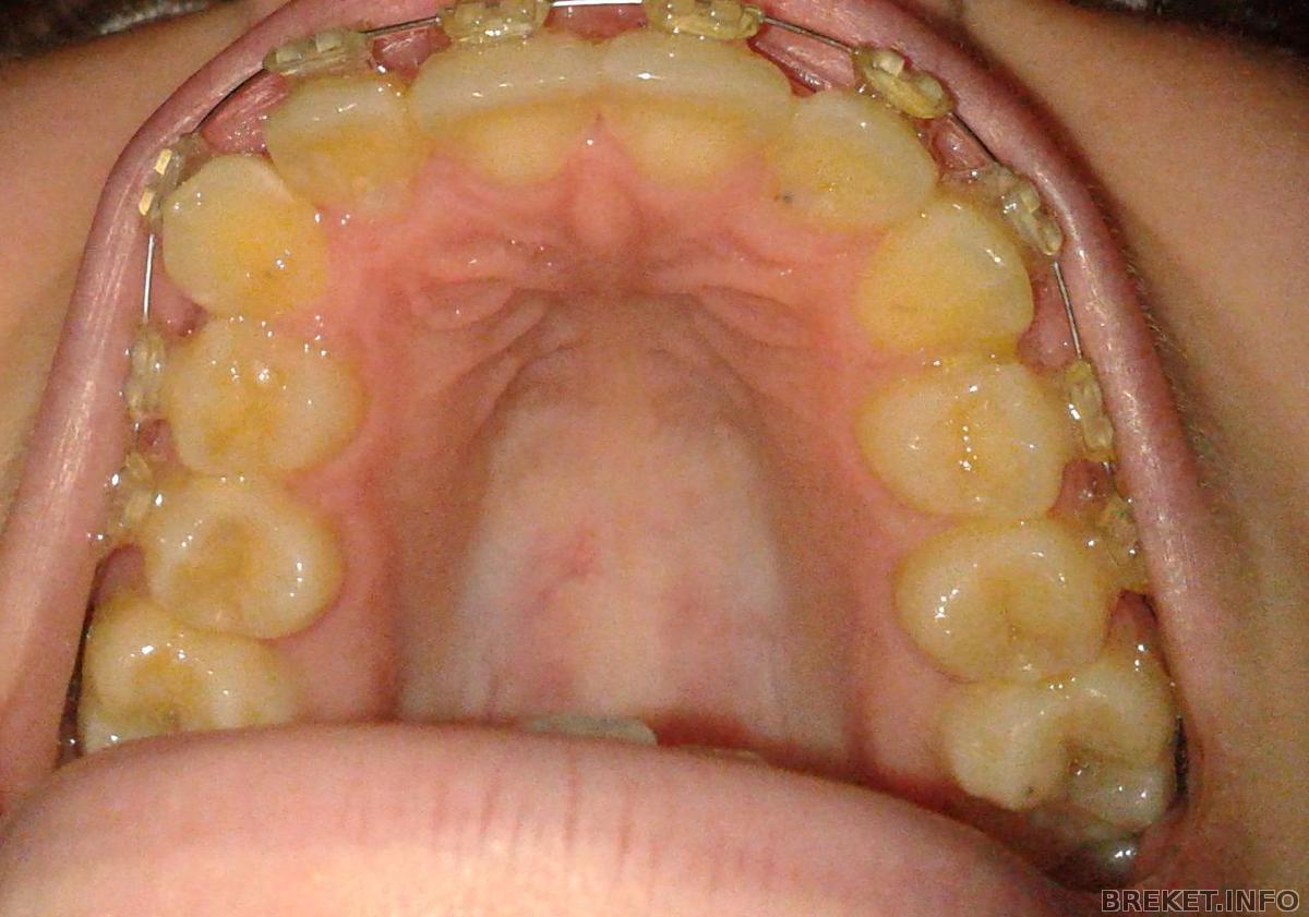
после снятия)))))

итак, после снятия прошло почти 5 месяцев, состояние зубов на данный момент отличное

5after.jpg

начала пользоваться электрической щеткой, зубы стали заметно белее

скоро планирую делать чистку и менять ретейнеры

еще после нг надо удалить зачатки зубов мудрости, но я боюсь, вдруг зубы разъедутся? зубы мудрости же подпирают зубы, а тут их удалят.. кто сталкивался с таким, расскажите пожалуйста

19.10.2012 - 23:32