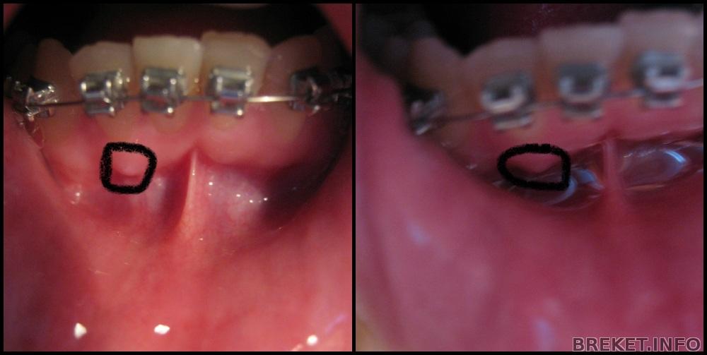
Девчонки и мальчишки, у меня такая проблема - сегодня утром, когда умывалась почувствовала резкую боль при чистке НЧ. Стала смотреть, что там такое и увидела небольшую шишку под 2й, она выпирает на несколько миллиметров, а когда ее трогаешь боль просто адская 
Я думала может это корень так выпирает, но не может же быть у зуба такой короткий корень! В общем, я в панике и не знаю что делать - бежать к орту или стоматологу, или может купить мазь для десен? Подскажите, пожалуйста 