Дневники

аватар: Zub
Zub
Сапфир в платине

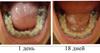
18 дней НЧ

18 дней назад мне устанавливали брекеты на НЧ,недавно хотела сюда писать жаловаться,что ничего не происходит,но зубки как-будто меня услышали и пошли на место!Они у меня такие молодцы,а вот верхние зубки меня не радуют...(
А еще мне интересно,как Вы фоткайте НЧ я 100500раз фоткала,но все равно ничего не получается(((

18_dney.jpg

12.10.2012 - 19:25

Удаление восьмерок

Удалили мне две восьмерки слева (на НЧ и на ВЧ). Не могу сказать что больно, но неприятно, причем одна из них была ретинированной, вот с ней доктор помучился минутки две и наложил швы. С восьмеркой на ВЧ за пол минуты справился, я и не поняла что все закончилось)) Зубы у меня крупные с крепкими корнями, очень боялась их удалять, врач скзал, что такими зубами шпалы можно грызть)). Читать далее »

итак, сегодня примерно 787 день брекетоношения. очередной прием орта.

snapshot_20121012_30.jpg
так и хочется сказать, что этот прием был таким долгожданным, но опять-таки не оправдал надежд. в прошлый раз орт сказал что сменит дуги на более жесткие, а сегодня оказалось что жестче чем стоят у меня на данный момент -нет. Читать далее »

12.10.2012 - 14:26

Как часто меняют дуги?

В начале лечения,на консультации,врач мне говорила,что дуга будет заменяться 3-4 раза за весь период лечения,однако сегодня на очередном приеме она мне сказала,что в следующем месяце меняем дугу(уже получается она будет у меня 3-ей)
С чем связано такая быстрая замена дуг (прошло всего 5 мес.) и вообще какие они бывают и на каких этапах какие дуги ставят?
Буду очень благодарна за разъяснение элементарного

12.10.2012 - 14:10

Брекеты

скажите пожалуйста девчата, а сколько зубы болят после смены дуги на брекетах? мне поменяли дугу с 14 на 16, зубы сейчас болят очень сильно, ничего есть не могу, не то что говорить , а спать так вообще катастрофа не могу, сегодня ночью вообще практически не спала, сейчас так спать и есть хочу но всё болит не представляю как буду кушать что то из еды, неужели до экзаменов это не пройдёт, у меня экзамен в понедельник и четверг мне надо подготовиться, а я ни о чём думать не могу, так болят сильно зубы. как думаете пройдёт это или нет? за два дня?

Всем привет!)

Привет, кто-нибудь знает можно ли лечить (менять пломбу) зубы с брекетами?

12.10.2012 - 12:52

Можно ли делать МРТ при БС??

Люди помогите! Вышло так что необходимо сделать МРТ отдела позвоночника,в 2х клиниках как узнают что у меня установлена БС отказывают в диагностике. В интернете прочитала мнения врачей диагностов расхожи,кто-то пишет что можно, кто-то наоборот.Одни считают что точно противопоказано и надо снимать БС,другие пишут что можно начать диагностику и если будут болевые ощущения то прекратить её. Что делать??У меня damon q, и damon clear. Читать далее »

четвертый день

Вот и четвертый день:-) зубки почти не ноют, немного чешутся десны, но это уже не так страшно как было:-) сегодня смогла пожевать мякушку хлеба... и радости от этого было!! улыбаться еще стесняюсь, надеюсь перебороть себя в ближайшее время) настроение сегодня хорошее, делюсь им с вами, брекетоносцы:-)

12.10.2012 - 12:17

CНЯЛИ :)

Ура наконец то сняли!!! радуюсь и всегда улыбаюсь) только 1 минус , не по центру зубы , а так все отлично)

kfj7lc9oofi.jpg

img_0335.jpg

12.10.2012 - 01:02

Точка отсчета....

Ну вот сегодня и началось время отсчета на моем пути к красивой улыбке). Поставила, наконец, долгожданные брекеты и сразу поела на новую работу устраиваться. Пока еще не все успели заметить мою красоту)). Первый день прошел более-менее нормально, ожидала худшего, правда натерла уже губу((( да и зубы тянет сильно, я их сомкнуть вообще не могу, даже на надкусочные пломбы, больно(, хорошо хуть губ хватает брекеты прикрыть, не хожу с ракрытым ртом Вечерком меня хватило только на куриный супчик(его содержимое я предварительно размяла вилкой) и на арбуз (и то с трудом ела). Читать далее »

11.10.2012 - 22:14