Дневники

Вопрос для внимательных к себе людей ;)

Вот мне интересно: как с периодом ношения брекетов меняется ваша жизнь? Меня интересует внутренний аспект вашей жизни, т.е. изменения внутри Вас
А конкретно, что изменилось в вашей внешности, лицо, прическа, стиль в одежде, что изменилось в вас самих, в вашем характере, в ваших взглядах на жизнь, в привычках...

Второй прием

Сегодня была на втором приеме после установки. Поменяли резиночки, поставили новую дугу. Ждем пока двойка сместиться и будем ставить на НЧ. Как же я рада, что решилась на установку брекетов! )))))))Фото смотрите в альбоме

29.08.2012 - 19:25

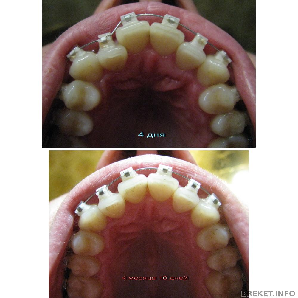
Небольшой отчет

Сегодня была второй раз на приеме у орта. Приклеили мне 2 отвалившихся брекета на НЧ и все... дугу сказали рано менять еще, так что уже 4 месяца я с первой дугой )
По НЧ ничего интересного, а вот на ВЧ уже заметен хороший прогресс

na_sayt4.jpg

29.08.2012 - 19:12

Витаминки мне в зубы!)

Прогулка три дня назад закончилась дождиком, под которым я дурачилась часа 2, вот только вышло это мне боком, наступила....простуда)Недолго думая, я стала пить колдрекс и кушать витаминки в драже, еще какие-то таблетки для горла....
Последствием всему этому стали мои лигатуры, которые приобрели лимонный цвет Ярко лимонный!!! Все усилия за месяц уберечь их от чая, кофе и др увенчались провалом. Теперь и первого я на встречу в инст иду с ними и Пн и Вт буду учиться с ними!! Это просто фиаско, аскорбинку прокляла.
След прием 4 сентября...........

29.08.2012 - 18:44

Хочу совместить приятное с полезным))

Сегодня День Рождения Майкла Джексона.Я вот подумала:может,есть здесь его фанаты или просто неравнодушные к его творчеству?Было бы интересно пообщаться с единомышленниками))Да еще и коллегами))

29.08.2012 - 18:24

помогите))

кто-нибудь принимал успокоительные перед удалениями?? чем ближе день операции тем меньше храбрости.))) посоветуйте хорошее средство

29.08.2012 - 18:15

Капы долго изготавливаются

Всем привет)) Совсем скоро снятие Только одно беспокоит, орт сказала, что капы выдадут только через неделю после снятия а так установят несъемный ретейнер. Кто-нибудь сталкивался? Я вот боюсь, что зубы разъедутся после такого снятия

Начало

Приветы всем! я собираюсь пополнить ряды брекетоносцев
У меня мезиальный прикус из-за "патологии" челюстей : нижняя переразвилась, верхняя - недоразвилась. Ещё и центры съехавшие - лицо несимметричное И я внешне очень похожа на свою аваторку Читать далее »

29.08.2012 - 16:01

День 3

Всем привет! Очень рада, что нашла сайт единомышленников!
Сегодня 3-й день. Установила на ВЧ и НЧ. Кушаю дома пюрешечки, а в обед бегаю по кафе с вопросом: «Суп-пюре в меню есть?».
Вчера увидев, что в суп кладут что-то типа сухариков-крекеров в огромном количестве, умоляюще прошептала «Только не это!», официант оказался отзывчивым, налил новую порцию и пожелал удачи Читать далее »

29.08.2012 - 14:29

Брекеты Gemini относятся к какому виду?

Хочу добавить инфу сюда,но похожего ничего не вижу.кто носил,подскажите.что за корпорация?Фирма 3М Unitek ,но там еще есть отделы...

29.08.2012 - 13:05