Мой запоздалый еженедельный отчет. 
25 августа моим новым спутникам исполнился месяц) Мы уже как родные, особенно ощущается это по утрам, когда они впиваются в губы и щеки так, что с трудом удается оторвать)
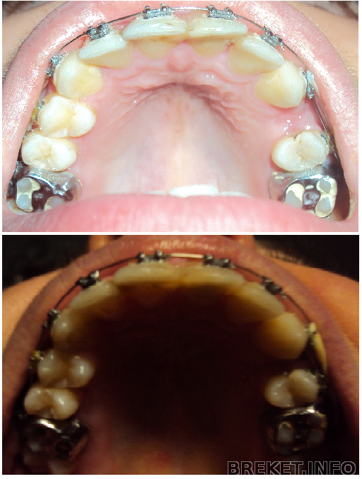
Результаты заметны и радуют, хотя не так, как на прошлой неделе. В эту неделю болят жевательные зубки, так что жду результатов по второй двойке с нетерпением, тем более, что уже развернуло немножко левый клык)
Я в еженедельные посты буду добавлять все фотографии, чтобы отслеживать прогресс. Делать буду это под анонсом, так что если кто-то не хочет, может не разворачивать, этот дневник я веду больше для себя. Но, если кому-то интересно, я, с удовольствием, разделю с вами радость достижения голливудских результатов) Читать далее »