Дневники

скоро установка НЧ

вчера была на приеме, поменяли дугу (снова все тянет и побаливает,я уже забыла каково это) и сказали, что уже можно устанавливать НЧ. След. прием 6 октября.
Насчет четверок сказал, пока ничего гарантировать не может, вроде все должно поместиться без удаления, но со 100% уверенностью можно будет сказать только после подключения нижних и изменения наклона. Будем надеяться на лучшее)

24.08.2012 - 09:06

Ну вот и началось.

Дни рождения у коллег. Это значит надо все грызть не смотря на брекеты. Сегодня первый день рождения и он у начальника. Надеюсь он пройдет без потерь моих брекетов. Плюс к тому мы начинаем лопать всякие тортики с самого утра, а щетку и пасту я не взяла с собой. Очень ли критично, если нарушу все правила чистки до вечера? думаю от одного раза не чего не случится?....или же это очень плохо?????

24.08.2012 - 08:37

хнык(((

Ну вот мой третий день с брекетами, вчера отпал утром один=((( Съездила..мне его приклеили, пошла на курсы английского..и отпало сразу два(ладно хоть на дуге висят. В общем сегодня позвоню своему ортодонту и поеду опять приклеивать(( мне кажется она меня убьет. Хотя я ем только детское питание и пью молочный коктейль через трубочку..их вообще не трогаю( а они отлетают....((( вот почему?

24.08.2012 - 05:53

Десну прийдется подрезать

Сегодня на приеме с ходу обратила внимание орта на то, что между тройкой и пятеркой разрослась десна. Пятерку уже не видно почти. Она сказала, что в следующий прием нужно зайти к хирургу и подрезать. кстати такое впечатление, что брекет уже врастает в десну. Но я думаю, что поправят)

23.08.2012 - 23:57

Помогите новичку))

Всем привет))
Вот и я наконец надумала поставить себе брекеты)) за последние дни перерыла весь интернет чтобы хоть как-то во всем этом разобраться. В силу определенных причин, до ортодонта смогу дойти не раньше чем через неделю((( а я уже так загорелась, так все интересно!! Очень рада что наткнулась на этот портал)) реально очень полезно почитать как у людей происходит сам процесс) вот.
Ну а теперь собственно к делу) есть у меня несколько вопросиков, сразу прошу меня извинить - может кому они покажутся глупыми, но я ведь новичок в этом деле)) Читать далее »

23.08.2012 - 22:34

Что с зубиком?

Месяцев 5 назад заметила, что левая двоечка потемнела, орт ничего по этому поводу не сказал кроме того, что "ну он у тебя на нижние твои больше похож, они тоже потемнее".
Мне это ничего не дало, беспокоюсь, может он мертвый?
У кого-нибудь было такое?

9 месяцев

23.08.2012 - 22:27

Время летит незаметно

Огогооооо...уже 8 месяцев и 4 дня как я ношу брекеты)))время летит незаметно, это видимо все лето виновато, которое кстати прошло суперпупер просто и в плане отдыха, успела съездить на Байкал на 2 недели, и в плане зубок. Мои промежутки - они наконец то закрылись..полностью..ехуууу больше нет безобразных дырок по бокам))видимо в сентбяре начнут челюсти "править" в прикус, а там и до стяния недалеко)

img_2011.jpg

Спустя год)))))

Друзья-брекетеносцы, салют Вам большой и пламенный!
У нас с брекетушками недавно был праздник! Первый день рождение – нам исполнился один годик!!!
За время годичного ношения я испробовала на своих зубах много чего, а именно:
• Удаление зубов мудрости
• Сепарация
• Air Flow
• Стопоры;
• Тяги;
• Смена дуг;
• Кнопка;
• Надкусочные пломбы;
• Сепарационные резиночки;
• Эластики и проволочки

Удаление зубов мудрости
Зубы мудрости у меня ВСЕ ретенированные. Удаляла 2 на ВЧ, потом по одному на НЧ – суммарно 3 операции. Читать далее »

23.08.2012 - 20:41

Ахха реп про брекеты!

Смотреть всем всем!! чисто поржать)) http://vk.com/video-42069711_163014487

23.08.2012 - 17:33

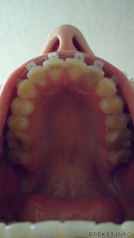
Месяц с моими родными брекетами..)

Всем привет
дня 3 назад была на первом приёме после установки.. Вот мои результаты НУ как??

rezultat_mesyac_kopiya.jpg

Результат 1,4 м

Счастью не было предела, когда посмотрела на свои слепки, их фото не очень, потому что с телефона
Ортофея сказала, что пока выравнивание ряда приостановим, а пока будем заниматься поднятием зубок, чтобы не были длинными единички! это же моя мечта Читать далее »

23.08.2012 - 16:53