Дневники

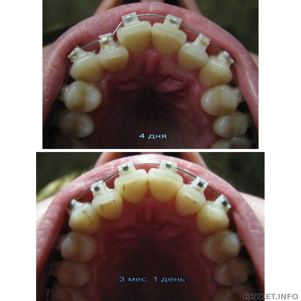
3 месяца

na_sayt3.jpg
Хотя сегодня даже 3 месяца и 1 день брекетам на ВЧ. Изменения уже перестала замечать... Стоит все еще первая дуга... на прием только в конце августа... Завтра иду на профгигиену.
Кстати задумалась, сейчас уже привыкла к брекетам... и ни чего не мешает... И как наверное необычно будет, когда их снимут, всяко чего-то не будет хватать )

19.07.2012 - 21:06

ябидабидаааааа! иху! уиииииии! аняняняня! и тд и тп....

ну вот я и пополнила Ваши ряды, брекетоносцы! да да! Наша армия пополняет ряды и с каждым днём становится всё сильнее и сильнее!!!Армия людей, стремящихся к самосовершенствованию!!!но это демагогия..."Ближе к делу (или телу?!) , как говорит Ги де Мопассан!" Читать далее »

Подскажите мне пожалуйста где в Москве купить самостоятельно или недорого ёршики курапрокс. Если сюда нельзя адрес или телефон-напишите в личные сообщения.

Я нашла,но там только доставка или мелким оптом. В одном месте 520 в другом 410. Я хочу приехать и взять. Большие которые

19.07.2012 - 20:48

Принятие решения

Всем привет! Уже осень долго читаю этот форум и вот решила зарегестрироваться. Если честно до сих пор не знаю стоит или не стоит. Волнуют конечно три вопроса: поможет ли или будет еще хуже? 1,5 года это мноооого. И последнее - а как же личная жизнь? В общем как-то так.

19.07.2012 - 19:56

2 дня в Брекетулях, а уже куча вопросов

Всем Привет.
Вот и я присоединилась к счастливым обладателям будущей красивой улыбки. 2 дня в брекетах и уже появляется первые вопросики.
Сегодня второй день и ужасно болят передние зубы (1-ки и 2-ки). Меня пугает то, что болят только эти зубы, а не все подрят)) И вообще они теперь всегда так будут болеть или это пройдет. Мне прям не дотронуться до них, ни щеткой, ни ниткой.

19.07.2012 - 16:05

Дуга?!

Дорогие, представляете, я увидела у одной девушки на нашем форуме эту фотографию....что это и для чего?не подскажите.....?

duga.jpg

19.07.2012 - 15:57

Брекеты на 7 ки?

Всем привет! Моя НЧ не дает мне покоя((( Если поставить брекеты на 7 ки, станут на место 6 ки? Врач почему то не хочет задействовать 7 ки. У меня левая сторона еще как то совпадает, а правая вообще в воздухе висит, на ВЧ зубной ряд расширился а в низу нет.

19.07.2012 - 15:15

Надежды.

Привет всем!))) И всей моей поддержки кто тут успокаивает и читает меня))))) я рада,что вы у меня есть! Вы даже не представляете на сколько это важно. Особенно в психологическом плане. Потому что дома я уже всем надоела! Ношусь, как кошка с котенком с этими зубами. Чем то не довольно или замечаю изменения какие и начинаю нервничать, а хорошо ли или нет. В общем домочадцы все уже стреляются от этого! и мне порой жуть, как обидно. НО я вспоминаю,что у меня есть ВЫ. И сразу легче. Как то отпускает. Читать далее »

19.07.2012 - 11:55

Приём)))))

Сегодня была на приёме.Сняли пружинки,с которыми я проходила 2месяца и 1неделю.Оставили 16дугу.Поставили лигатуру(вроде так называется)между 5-й и 7-й.А чуть не забыла,моим зубкам устроили очередную фотосессию)))Следующий приём будет 7сентября,на котором мне залечат зубик...из-за моего забора на зубике появился кариес,который вылез только сейчас,а до этого был спрятан за другим зубиком.Так же установят БС на НЧ.Ну и с ВЧ что-нибудь сделают.Через день ВЧ уже будет 4 месяца)))Фото выложу как только доберусь до компа,а то пока что приходиться сидеть с телефона.

11й день и вопрос

С момента постановки БС прошло 937 262 секунд, 15 621 мин. 260 часов, 10 дней, 1 неделя.(спс,mycount.org)
Вчера пришлось тащится к орту. Дуга вылетела из 7ки . Как сказала орт, первая дуга на много меньше в ширину крепления брекета. Пока ждал электричку ,которая увезёт меня из серого гиганта в зеленую деревушку поглотил пиццу и заметил что зубы окончательно привыкли к брекетам. Дома почистив зубы и подложив новый огурчик улиткам, пошел к зеркалу. вдруг понял что я жду когда мне поставят 2ю дугу. и вот вопрос: было ли у вас такое желание к следующей дуге?

19.07.2012 - 10:11