Дневники

Веселенький отпуск.

23 июня отвалился предпоследний брек на НЧ, который вытягивал зубик из недр челюсти, т.к. был меньше всех остальных , намного:). Такая прикольная погремушка вышла! Столько воска ушло, дабы вообще можно было говорить и кушать! Мрак! Хуже всего, что я была за пару тыс. км от орта:). И прием только через 3 недели! И никуда не дернешься! Кое как смогла бедолагу снять по согласованию с врачем, с которым смогла связаться только через 2 недели. Читать далее »

20.07.2012 - 15:49

Частично забрекетили!! Наконец-то!!

Только что от орта - поставили брекеты. Ураа! Пока по плану единички и двойки без брекетов и без дуги - двигаем клыки на места. Видок, конечно, тот еще - зияют дырки от удаленных 4ки и 5ки.. Но ничего, зато путь к красивой улыбке начат!!

Час откровений.

  • 17 июля был долгожданный прием. Как-то быстро произошло это событие, что сама даже не поняла.
  • Смена дуг на ВЧ и НЧ, сняли начальные, поставили жестче(вроде что-то 014х.025 не факт...)
  • Следующий прием назначили на 14 августа, перед ним надо будет на проф очистку сходить, думаю в числах 10ых.
  • День потянуло...клычок поныл, сравнение делать рано, наверно, после приема на 14 сделаю фото изменения. Посмотрим, что получиться.

4 ый месяц

Всем привет!сегодня была на приеме, прикрутили верхние зубы к новой дуге 16*22, нижнюю тоже сменили. Прогресс просто быстро идет!как я рада! ношусь со своими зубами,как с ребенком)) да, есть маниакальные наклонности к боли, она меня радует! ортодонт уходит в отпуск, поэтому следующая смена дуг и чейны будут в сентябре.
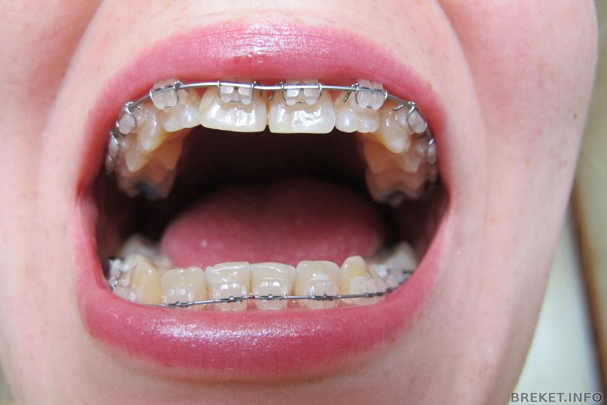
Что у меня с зубами сейчас :

4 месяца вч, 3 месяца нч

img_1405.jpg

20.07.2012 - 14:56

устала(

люди,помогите...дело в том,что каждую ночь по 10 раз я просыпаюсь от того что мои зубы стиснуты на столько сильно,что мне дико больно и я проснувшись долго прихожу в себя челюсть в ужасном напряжении!(я не знаю что делать,это продолжается уже недели 2,как раз после установки БС на НЧ.просто сил уже нет! Читать далее »

20.07.2012 - 12:28

Вопросик опытным тягоносцам )

Приветик, мои дорогие!!! Вчера было ровно 2 месяца как я ношу брекеты, зубки выравниваются и не очень болели. У меня глубоки прикус, поэтому ношу надкусочную пластинку, а вчера на приеме мне выдали впервые тяги, вот такие: 3/16" MEDIUM 4.7 mm. Цепляются с ВЧ 3-4 зуб на НЧ 4-5 зуб. Мну жутко больно, пила обезболивающее, но оно помогает на часа 2, терплю... Скажите, пожалуйста, для первого раза не сильно ли жесткие тяги? и еще: я понимаю, что все индивидуально, но все же, через сколько мои зубки и челюсти адаптируются к тягам таким? Сколько Вы привыкали? сколько нужно дней? Читать далее »

20.07.2012 - 11:25

Начало положено!!!

Всем привет!
Скоро в вашей компании будет очередное пополнение! На следущей неделе поставят DAMONы.
Сегодня удалили вторую 6-ку!
И почему я раньше так боялась удалять зубы?
Когда стоматолог говорит: "Все .Вставайте", хочется спросить:"А зуб уже удалили?" (только анестезия не дает ничего произнести)

20.07.2012 - 08:23
аватар: Mel
Mel
Бриллиант в платине

Два месяца. Фиг дуги и новые тяги)

Вот так прошло незаметно два месяца моего брекетоношения. Двоечки потихоньку стали дугой в ряд, хотя этого не очень заметно, если смотреть в анфас. Жаль, не могу найти фото до, чтобы сравнить состояние зубов в формировании "идеальной дуги", но уже получается. Ибо тройка уезжает. Пришла к моей феюшке и закивала печально отрицательно головушкой, что тюлени плохо тянут тройку и её лучше припарковать за какую-нибудт тягу посильнее, на что она подумала и порекомендовала надевать две тяги. Читать далее »

19.07.2012 - 21:13

Любопытство)

Всем брекетоносцам ,привет ! Скоро и я пополню ваши ряды,буквально меньше чем через 2 недели.
У меня будут на ВЧ Damon Clear ,а на НЧ Damon Q..так вот, пришлите фотографию в комментариях,кого не затруднит,хочется посмотреть как будут хотя бы выглядеть Damon Clear(можно и Damon Q )..И у кого они стоят,посоветуйте ,что при первой необходимости понадобится,чтобы "ухаживать" за ними ? Заранее спасибо

19.07.2012 - 21:08

1 месяц. Отчет

Вот и наступил первый месяц. Читать далее »

19.07.2012 - 21:06