Дневники

Настал тот день!

Вот и на стал тот день, когда поставили брекеты..Ваще не представляю как к ним привыкнуть можно((((челюсть до конца не смыкается, есть не возможно...Еще и челюсти гузят, зудят, ноют...и это прошло только пара часов..что же дальше будет((((

12.07.2012 - 14:22

Худели?

Дорогие, хочу у вас спросить. Когда вам установили БС, худели ли в первые дни, похудели ли вообще за весь срок ношения и когда можно есть как "человек"?!спасибо

12.07.2012 - 13:52

Брекетные будни

Привет всем братьям по счастью! Вот решила немножко поделиться своими мыслишками раз в пол года. Читать далее »

12.07.2012 - 13:17

Страшно-страшно

Сегодня, наконец-то завершающий день...Снимают с НЧ, с ВЧ сняли где-то 2 недели назад, поставили ретейнер. Очень боюсь, как будут снимать железные кольца с шестерок, у меня вот такое ощущение, что они уже вросли в десну .
Кто знает, как их снимают? Дрелью, бензопилой или долотом?

12.07.2012 - 11:16

ВЧ 3 мес 5 дн / НЧ 1 мес 29 дн

В понедельник (09.07.2012) состоялся очередной (запланированный) визит к орту.
Основные итоги:
1. Для меня это было главным на данный момент - поменяли дугу на ВЧ. Вроде на 14х25 или как-то так.
А ещё, в этот раз, на новой дуге передвинули стопор (справа, где 4ка не удалена) на клык. Раньше он был на 4ке. Орт сказала, что на данный момент дуга так будет работать эффективнее.
2. Сняли эластик с клыка (с левой стороны, где удалена 4ка), так как он уже опустился и передвинулся на место буквально за месяц! Остался небольшой промежуток между 3 и 5 зубом (клык встал на место удаленной 4ки) Читать далее »

12.07.2012 - 10:08

Керамические брекеты и черника

Вчера ездила в лес и естественно наелась черники, а про брекеты забыла. Вспомнила про них только дома, когда пошла зубы чистить. Смотрю в зеркало и замечаю что БС немного покрасились...они как-то посерели что-ли. Блиииин, подскажите краска сойдет с них???

12.07.2012 - 09:39

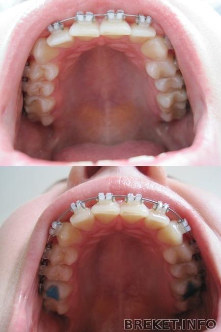
Прошло 3 месяца. Результат (фото)

Через 2,5 месяца поставили квадратную дугу и результат пошел! Удаляли только восьмерки на ВЧ.

20120709qgqm55cvxsb3dwua_hkrpn_large.jpg

12.07.2012 - 08:54

обрадовали)

Вчера была на приеме. Ортша вскольз сказала, что вроде скоро снимем. У меня земля из-под ног ушла. ПОЛГОДА? Обещали носить до осени 2013 года, а тут я могу избавиться от оков до нового года или в крайнем случае в январе. Счастью не было предела. Домой шла со слезами на глазах.

12.07.2012 - 08:27

Санкт-Петербург

Друзья! Есть кто-нибудь из Питера ? Я ни разу не была в этом городе, и собираюсь его посетить ! Подскажите, какие места особенно важно посмотреть и какой климат там обычно в конце лета ? я в августе собираюсь )

12.07.2012 - 06:07

Новые тяги :(

Был вчера на очередном приёме у ортодонта. Установили ещё пару кнопок, на внутреннюю сторону зубов(для тяг). Врач спрашивала как часто я носил тяги до этого, я сказал что не так часто как хотелось бы. В итоге, она мне пригрозила становить нёбный расширитель, если я не стану носить тяги постоянно. Вот теперь уже сутки не снимаю два пары тяг, зубы болят так, словно мне первый день брекеты установили... (( Читать далее »

11.07.2012 - 22:09