Дневники

Санкт-Петербург

Друзья! Есть кто-нибудь из Питера ? Я ни разу не была в этом городе, и собираюсь его посетить ! Подскажите, какие места особенно важно посмотреть и какой климат там обычно в конце лета ? я в августе собираюсь )

12.07.2012 - 06:07

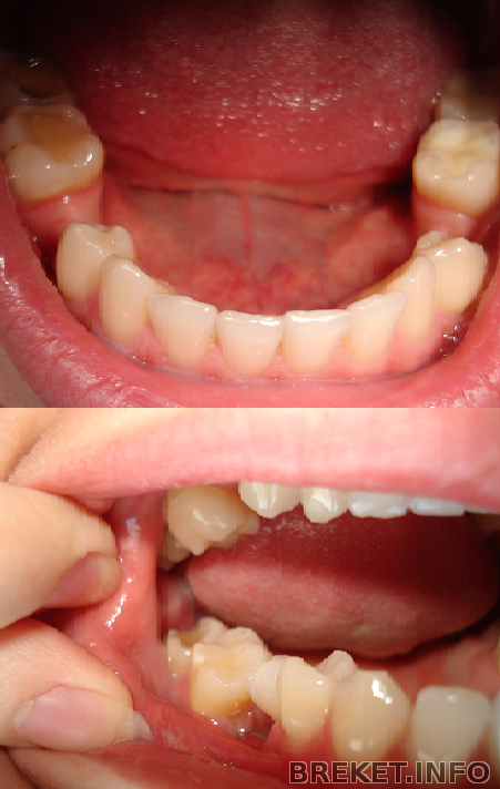
Новые тяги :(

Был вчера на очередном приёме у ортодонта. Установили ещё пару кнопок, на внутреннюю сторону зубов(для тяг). Врач спрашивала как часто я носил тяги до этого, я сказал что не так часто как хотелось бы. В итоге, она мне пригрозила становить нёбный расширитель, если я не стану носить тяги постоянно. Вот теперь уже сутки не снимаю два пары тяг, зубы болят так, словно мне первый день брекеты установили... (( Читать далее »

11.07.2012 - 22:09

Мой наборчик брекетоносца:)

image_3.jpeg

  • Воск. Незаменимая вещь!
  • Ёршичек, мини-зубные пасты, мини-ополаскиватель (для косметички с собой)
  • Новинка в наборе моем: ополаскиватель Splat Active white - ну и запах, конечно:) ядренный!! НО очень долго сохраняется свежесть, и действительно расщепляет налет в друднодоступных местах.

сегодня ровно неделя! :)

ну вот. уже неделю с ними, следующий визит к орту 27 августа.
привыкла , практически нет болевых ощущений, только зубы от единичек до троек ноют и расшатанные.
все пишут о том, что первая неделя - ад, но в моем случае я бы так не сказала,что настораживает)
я даже нормально ем не считая твердой пищи!)
ни разу еще не пожалела и очень счастлива, что мечта начала сбыватся!)

мои)).jpg

11.07.2012 - 19:53

Асимметричная улыбка

Доброго времени суток
Задам вопрос еще раз, а то так и не получил ответ на него: кто-нибудь боролся с асимметричной улыбкой (т.е. с одной стороны губа поднимается выше/ниже, чем с другой, соответственно и зубы по разному видно)? Каким образом, как успехи?

з.ы. Вопрос актуален, т.к. скоро снимать, а я всю жизнь улыбался без зубов, что, несомненно, сказалось

11.07.2012 - 19:06
аватар: DD
DD
Топаз в платине

.

Здравствуйте,граждане!
У меня возник вопрос: почему мне поставили пружинистую дугу только на одну сторону? и как она тянет промежуток(мне вырывали зуб) если пружинка только с одной стороны? и еще, если этот промежуток затянется, то в другом месте не будет промежутка? я опасаюсь,что-то.

Спасибо!

11.07.2012 - 18:12

Ожидание)

Вот и осталось до постановки БС чуть менее 20 часов...Саму аж подбрасывает, то ли от нервов, то ли от ожидания)))Решила добавить фото, как ненаглядные зубы выглядят сейчас)Чтоб потом сравнивать)))

Начало).png

Начало .png

11.07.2012 - 13:24

Результат!!!!

Вот так теперь будет выглядеть моя улыбка!!!!

ulybka_.jpg

Вот так все начиналось и выглядело ((

Dien_piervyi_.jpg

Ура, Товарищи!!!!!!!!!!!!!!!!!!
Улыбайтесь чаще, это всех раздражает ))))

Смена дуги

Вчера ездила к Орту. Должны были менять дугу на ВЧ и НЧ. в Итоге поменяли только на НЧ . На НЧ процесс виден,а вот на ВЧ практически никаких изменений. По планам орта сейчас единички на ВЧ должны были выпрямиться,но они ни в какую.... Печаль...
Сегодня зубы на НЧ болят, опять перехожу на кашки,йогурты и т.д.

11.07.2012 - 12:41