Дневники

Ретинирование клыка

В общем. Решилась я ставить брекеты, но у меня некоторая сложность с нижней челюстью. У меня там клык не прорезался и остался внутри. Я обращаюсь уже ни к первому ортодонту и все они говорят разное. Кто говорит удалять, мешать будет, другие - а зачем? можно всю жизнь с ним прожить и ни чё....
Конечно риски есть всегда. Прям не знаю кого слушать
Может у кого-то была такая же ситуация с зубом. Как поступили?

Поставили брекеты. Иха!

Всем приветик! Господи, как же я вас ПОНИМАЮ! Сейчас сижу и страдаю, так больно, челюсть ревёт, ужасно! Я уже думаю поплакать! А так вообщем, всё прошло красиво и быстро. Пришла, поставили, объяснили, ушла. Кстати, слепок был со вкусам апельсина, мм, такая няма. Слепок был без болезненным, даже чуть заснула. А вот потом, когда занялись брекетами, оо ужас! Было не приятно, даже очень. Засунули приспособление, чуть ли не разорвали весь рот, ладно, это ещё было терпимо. Но потом, когда ваток 5 было в моём рту, вот это жестоко. Читать далее »

04.07.2012 - 20:20

как думаете?

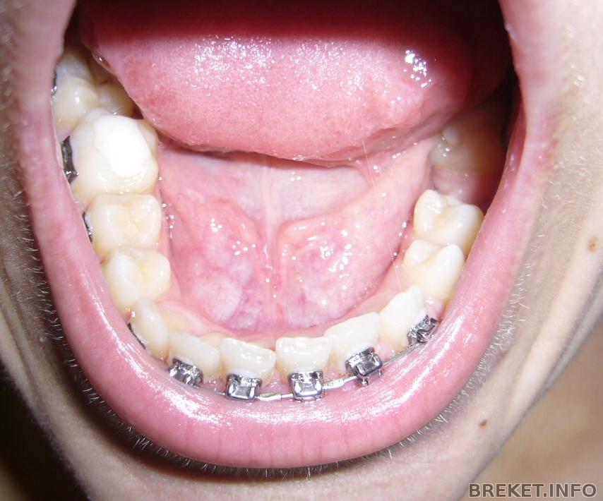
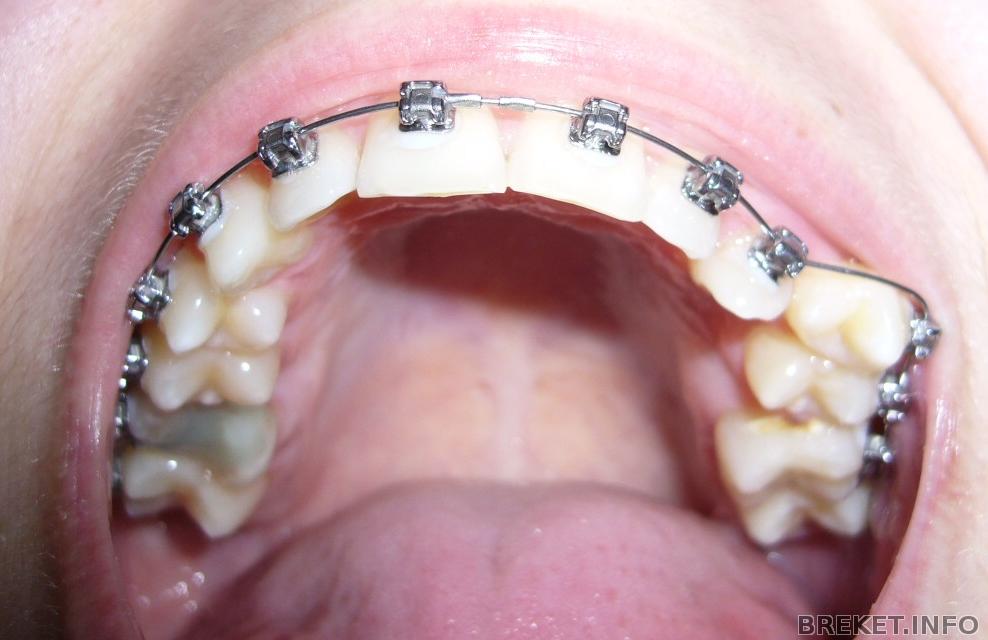
всем приятного вечера) ныла тут, что изменений не вижу) а сейчас сфоткала зубки, смотрю....а ведь изменения есть!!! на ВЧ) на нижней пока ниче заметного) фотки прилагаются) так вот...смотрю теперь на ВЧ, где тройка встает на место и понимаю что для клыка то походу места нет....(((( как думаете он встанет в ряд или придется применять какие-то кардинальные меры????

4.07.jpg
4.07.nch_.jpg

04.07.2012 - 19:33

Решился!

Ну вот решился и я.
Произошло все как то быстро. На этой неделе начал санацию рта(фторирование, лечить зубы...). Недавно приехал домой, зубки болят. Позавчера вырвали 4ки сверху и снизу на одной стороне, а сегодня 4ки на др. стороне.
Хоть и живу в Подольске, лечусь в Смоленске. Клиника очень хорошая, все хвалят её(так сказать самая лучшая).

И вот осталось совсем немного и стану брекетоносцем. В пятницу сказали что еще полечат и поставят.
Отдал за лечение около 42тыс + 22тыс за сапфировые брекеты.

нужен совет

на 10 июля предположительно назначена установка брекетов, на следующий день (11 июля) я уезжаю на отдых. вот думаю, может не стоит перед отдыхом ставить, как я есть там буду и вообще? может после отдыха поставить. не знаю что делать, посоветуйте пожалуйста.

04.07.2012 - 18:45

Пружинка

Сегодня поставили пружину , чтобы закрыть дырочу от удаленного зуба. Сначала пытались тянуть чейном - не получилось. Через неделю начали пробовать закрыть промежуток тягами (меняла их 3 раза в день), но и снова ничего не получилось, не двигается и всё. Вот теперь надеюсь, что хоть пружина сдвинет с места зубки.

пружинка.jpg

И тут у меня назрел вопрос: за сколько времени у вас затянулись промежутки от удаленных зубов? Читать далее »

Началось.....почти))

Привет всем-всем,кто носит брекеты!!!!!!!
Первый раз на этом сайте,но надеюсь,что стану постоянным его обитателем,а также найду соратников. Читать далее »

04.07.2012 - 18:24

отчетик

29 мая в очередной раз была на приеме у орта. подклеил он мне брекет отлетевший на 6 зубик, стал вставлять дугу новую - брекет отвалился и от другой шестерки.. подклеил и его.
Сказал, что в со сл раза начнем сдвигать зубки, чтоб заполнить промежутки между 3-ми и 5-ми.

04.07.2012 - 16:22

Первый прием после установки БС!)

Спешу поделиться впечатлениями после посещения ортодонта)

Прошло уже две недели после установки, мне переклеили 3 брекета,поставили новую дугу,когда сняли её, мне показалось,что на моих зубах шипы) и сменили лигатурки(на прозрачные)

Море позитива(т.к. теперь каждое мое посещение -праздник)

И вот что интересно, когда металлические лигатурки ставят?

Ничего вроде не болит) отличный день))

Удаление спустя 10 месяцев...

Брекеты на ВЧ я ношу 10 месяцев зубные ряды совсем ровные..но все мои мучения за это время получается напрасны.. Спустя пол года лечения мой орт сказал, что зубы удалять точно НЕ надо, что всё прекрасно...Хотя приходя домой и смотря на себя в зеркало я понимала, что зубы не умещаются и вч вышла оочень сильно вперед, что даже губы смыкаются с трудом, я всё же наивно полагалась на его мастерство и знания в этой области..с каждым месяцем ситуация складывлась всё хуже и хуже..нч тоже выходила вперед, а он твердил всё тоже самое и говорил, что тяги всё исправят! Читать далее »

04.07.2012 - 10:43