Дневники

Первая смена дуг!!!

Прошло совсем немного времени, моим брекетулькам на ВЧ - один месяц и одиннадцать дней, а на НЧ - один месяц и один день! И сегодня мне уже поменяли обе дуги! Пока ставили заметила на коробочке надпись 16х22, я так понимаю это "шестнадцатая" дуга, первая была "четырнадцатая". Моя шестнадцатая она такая толстая и квадратная в сечении, прикольно! Теперь следующий прием у ортофеи через полтора месяца, приду на смену лигатур. Сказала что лигатуры в следующий раз будем ставить металлические! А дугу эту буду носить два с половиной месяца. Читать далее »

02.07.2012 - 13:39

А туда ли я пошла?

Вот иногда, когда смотрю в зеркало, думаю, а может я не того врача выбрала... особенно, когда замечаешь что, что-то не так.
Вроде как на душе расстройство, но понимаю что еще только начало, и все раз 10 будет двигаться. А вдруг все будет плохо?
Вот смотрю на свою НЧ и понимаю, и фото это доказывают, что раньше зубы по высоте были одинаково, а теперь, спустя месяц, разные... а в шоке... успокаивает, что клык медленно встает на место. Что же будет дальше?

svodnnyy_listnch.jpg

02.07.2012 - 13:09

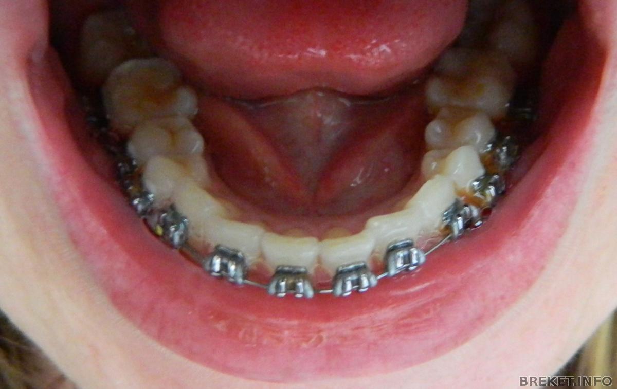
полностью обрекетованная)

вот и на нч установили.была в шоке,когда увидела,НАСКОЛЬКО зубы были скучены.
установила металлические lotus.УЖАСНО колючие в отличие от damon( натерла себе ВСЕ.на губах не осталось живого места,щеки тоже, а разговаривать вообще не могла-язык в таком же состоянии) весь воск истратила в 2 дня.когда отлипался,он мне напоминал пчелиный воск ТЕНТОРИУМ.помните?)так хотелось его пожевать и проглотить...

зато не жру)похудею после поездки на неделю домой к родителям)

sdc14023.jpg
Читать далее »

02.07.2012 - 12:19

А у вас сколько!

Я задумалась........... У меня на верхней челюсти 10 замочков, а на нижней 12.А у вас?

02.07.2012 - 12:01

А что позволяете из недозволенного кушать?))

Я сама того не замечая:
1 день: чизбургер
2 день: роллы
3 день: поп-корн в кино
Сегодня 4 день, и есть вообще не могу, зубки сильно ноют(

02.07.2012 - 10:46

Отпуск!!! или я же не могу иначе!

Значит было дело в обед, сижу и с невинным видом - ем, причем не что-нибудь а орехи... для меня это просто большая слабость не могу отказаться от них, в начале ела оооочень аккуратно, а тут уже 2 месяца позади...расслабилась и во всю наворачиваю... и тут "щелк", я остановилась, решила проверить все ли на месте. Сначала показалось, что все в порядке. Ан нет - дуга выскочила из 7ки правой. Ну у меня сразу мысли, о ужас зубик же не двигается, а я от города на расстоянии 300 км, загораю видите ли. Читать далее »

02.07.2012 - 10:30

Вот и все!

30 поставила бс на низ

dscn1495.jpg
Так вот за 8 месяцев ношения на верхней брекетов ничего не болело, я надеялась что низ тоже болеть не будет, ага как бы не так........
Болит, но боль терпимая,только хочется все взять и отодрать!За 3 дня не привыкла еще к ним,все мешает, ем с трудом не только из-за боли ,но из-за боязни что-нибудь откусить,сломать!Короче жесть!
и еще резиночки у меня серые!

02.07.2012 - 09:42

Какие ершики покупать???

Подскажите, пожалуйста, какие ершики самые лучшие? Ношу БС месяц и уже третью упаковку покупаю, это нормально вообще? Они все облазят или ломаются! Так ведь и разориться можно!

02.07.2012 - 08:41

поход номер 2

я в расстройствах, поменяли только лигатуры, дугу оставили, следущий прием аж 23 августа

02.07.2012 - 07:47

Помогите, помогите разобраться в ситуации

Всем привет! Помогите мне разобраться в ситуации. Я более двух лет брекетоносец. Но вот сейчас практически с ужасом смотрю на результат и в панике думаю как быть и что делать.
История такова: брекеты одела по-нужде, у меня начал сдвигаться сустав и наступили сильные больи с которыми не могла справиться и нормально спать. Все врачи сказали -одеть брекеты и исправить прикус.

В брекетах более двух лет. С проблемой болей в суставе слава богу справились. ТТТ
Теперь у меня другая головная боль- это ТОТ УЖАС во рту , который я имею. Читать далее »

02.07.2012 - 00:30