Дневники

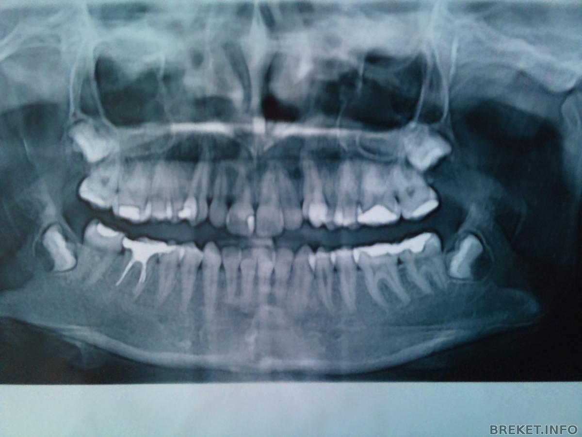
Кто удалял 8ки?

Всем привет еще раз!)))Хотела узнать,кто удалял 8ки(именно ретенированные).Какой наркоз вам делали? Как все проходило(я имею ввиду,сами дей-ия по удалению)? Как все заживало? Долго? Больно? Спасибо заранее:)

Вот еще фото прикрепила,правда не знаю зачем ))))

dsc_0205.jpg

26.06.2012 - 21:05

День рождение :)

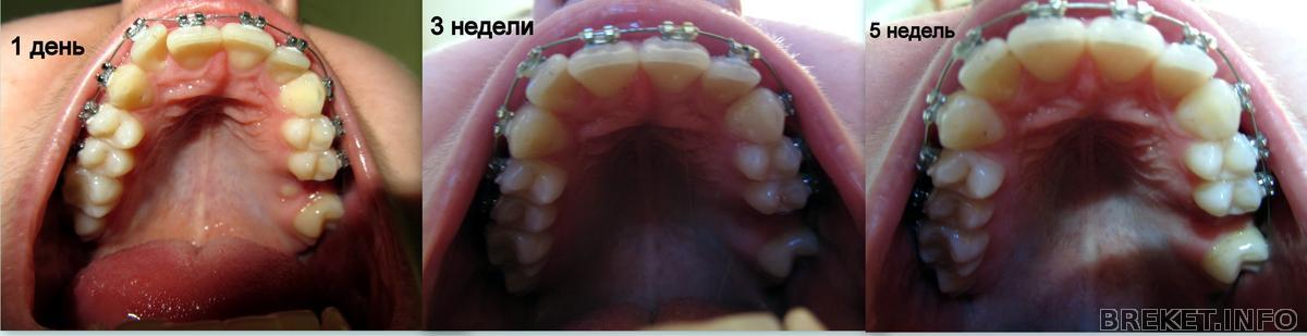
Всем привет. Первый день рождения в брекетах. Результаты ошеломляющие,а прошло всего-то 5 недель. 30 июня иду ставить на низ. Зубы до сих пор болят если ими кусать,а в остальном будто и нету брекетов. Фото прилагается :

kollazh_1d-3-5_nedel.jpg

26.06.2012 - 19:13

Бокс vs Брекеты

Кто-нибудь занимается тайским или обычным боксом с брекетами????
Мой тренер сказал мне заниматься в специальном шлеме с защитной сеткой + капа.
У кого-нибудь есть подобный опыт???

26.06.2012 - 15:35

Первая дуга...

Я пока хожу с первой дугой,спросила у доктора насчет срока её работы,она сказала,что еще поработает...
Сколько в среднем первая дуга работает?как определить,что она уже всё сделала,чего от нее требовалось?

Привет,милуши:*

Давно уже тут не была)оглянуться не успела как 8 месяцев на верхних зубках пролетели незаметно)Вчера пришла к своей ортофеюшку и она меня порадовала новостью,что к августу постараемся снять верхние,я была безмерно счастлива)но вот правда ли это?прошло меньше года. Расскажите,есть ли случаи,когда люди меньше года носят?

26.06.2012 - 14:46

Все по местам или welcome, новая дуга

Я все свечусь от счастья!!!
Вчера был первый прием после установки. И моя ортофея сказала:"Все идет по плаа-а-ану!".
После чего говорит, мол все что могла та дуга, то сделала)Отработала на все 100, как говорится.Умничка моя)
Я даже не предполагала, что смена дуги длится около 10 минут:)После моя ортофея оказалась
на моем мини-допросе Читать далее »

26.06.2012 - 14:29

еще один прием.

Вчера я опять ходила на плановый прием. Посмотрели,поглядели, дугу на вч так и не сменили,хотя уже пятый месяц идет.Сделали небольшую сепарацию двойки на вч. Орт сказала что дуга еще работает.Через месяц будет перваяяяя смена дугииии! как я жду.Сказала что будет еще 3 дуги, а интересно,самое большое сколько может быть дуг? и как часто дуги меняют, если я буду их носить столько же сколько и первую то это мне два года что ли ходить(((((((как было у вас?

26.06.2012 - 13:20

прием 23.06. — переклейка брекетов.

Ну что ж, в субботу переклеили мне два брекета с правой стороны — на единичке и на моем злополучном клыке. Теперь единичка должна чуток развернуться (неправильно), мы её подпилим, чтобы эстетично смотрелось. А клык побольше развернется. тем самым мы раздвинем корни зубов на достаточное расстояние, чтобы на место двойки влез имплантант.
Отклеивать брекеты оказывается очень больно! даже не думала... теперь не знаю как я выдержу снятие сразу с двух челюстей одновременно. как думаете, можно ли просить анестезию? Читать далее »

26.06.2012 - 13:16

мини юбилей!!!

ура!моим металлюгам сегодня 2 месяца! Мы так сроднились за это время!а главное что они меня радуют результатами!челюсть заметно расширилась и поэтому щель между единицами стала больше.ортофея предупредила,что пока они будут расходиться-промежуток будет увеличиваться.ну это даже хорошо,потому как язык с трудом всю жизнь там помешался.в общем говоря радостно мне!
Запуталась как не знаю кто,тем более сижу с телефона,поэтому фото в альбомах,(если кому интересно,можно там и посмотреть)

Стоимость проф.чистки

В прошлый раз ортофея направила нас с зубиками к гигиенисту на проф.чистку, в целях борьбы с намечающимся зубным камнем. Записалась на 16 июля, теперь вот гадаю, какими затратами это может обернуться.
Если не секрет, у кого сколько стоила эта процедура? И как ощущения вообще?