Дневники

Выпускной в "рельсах"!)

Сегодня выпускной....на всю жизнь останутся фотографии от этого дня в брекетах.
Ну что же потерпим. Конечно, шикарности это не приносит, но я не могу улыбаться губами вообще... У меня эта привычка раскрывать широкую пасть осталась и в брекетах. Раньше "Чеширом" из-за этого называли, теперь молчат))) Надо бы найти картинку чеширского кота с лыбой и в фш прикрепить ему брекеты да и поставить на аватарку, интересно, что скажут?
Фото может позже выложу с выпуска) Странно, у нас 11ые классы в разные даты выпускаются, раньше все в один день были.

26.06.2012 - 10:47

Прошло 2 месяца, результата не вижу, а Вы?

Как по мне, то никакого прогресса я не вижу, прошло конечно всего 2 месяца....

Может я не могу увидеть?

26.06.2012 - 10:40

Суббота!

Позвонила в клинику и записалась на установку в субботу!И и прям волнения как в первый раз!Переживаю,дело в том что верхнюю бс вообще не видно, а вот нижние зубы видно, т.е. и брекеты видно сильно будет!Муж ржот надо мной говорит ты что думаешь брекеты это круто, а я да!У самого зубы то идеальные, только не следит за ними.Вот я ему и говорю что это не справедливо,кому зубы красивые достались они этого не ценят, а мы за каждую кривушку тресемся!Так что осталось 3 дня свободы!

26.06.2012 - 09:26

профиль лица

для тех кто снял брекеты или собирается снять-изменился ли ваш профиль лица?улучшился или нет?

26.06.2012 - 09:17

Свежие новости или Меня снова обломали.

Всем привет! Только что вернулась от ортоши. Сказали что ставить бс пока рано, так как каналы ещё не закрылись. Сказали грызть много твёрдого. Не знаете сколько они закрываются? Прикиньте, в прошлый раз нас отпрвили гулять до лета, а теперь до зимы! Если поставить брекеты сейчас, потом зубы будут шататься и ничего с этим нельзя будет сделать. Буду ждать А мама говорила что в этот раз нас отправят до зимы Пипец! Эх, ну ладно, подождём. А ещё у меня на нч пятёрка ещё не выросла. Поверх неё молочный зуб растёт. Если его удалить, 5ка может перестать расти. Читать далее »

26.06.2012 - 07:48

Очередная запись в дневнике:3

я тут писала, фотки выкладывала, забыла заголовок написать, нажала " предпросмотр" и все стерлоось:(
Заново теперь пишу.
Не была на этом сайте давно, а моим брекетулькам 10 месяцев сегодня исполнилось- ВЧ. Нч чуть поменьше - 7)
Орт сказал, что в конце августа мне поставит опять тяги и это будет последний этап. А на прошлом приеме мне просто лигатурки поменял. Читать далее »

26.06.2012 - 00:48

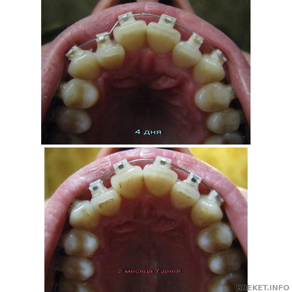
2 месяца 7 дней. Отчет для себя

Изменения на лицо... и даже улыбаясь, теперь кажется, что зубов стало больше )
Через 2 дня первое посещение ортофеи )) Посмотрим, что там будет ))

2mes7dney.jpg

25.06.2012 - 22:47

Кошмарная боль

Помогите пожалуйста, совсем не знаю что это может быть!!! Буквально час назад решила выпить глоток сладкой газированной воды (пью редко, по глоточку) - и внезапно почувствовала сильную резкую боль в области нижнего клыка, возле лунки от удаленного почти месяц тому зуба.... Не могу точно определить место... Думала, что-то с чувствительностью, пройдет через минуту.. но боль не утихала... только что решила выпить минералки без газа - то же самое, как будто в челюсти дырку сверлят!!! Читать далее »

Помогите советом!

После 6-ти месяцев ношения брекетов, клык стал на место, но теперь меня волнует другая проблема. Передний зуб ( со стороны проблемного клыка) начал двигаться назад. Орт предлагает переклеить 2 брекета на передних зубах: тот, который меня не устраивает бесплатно, а 2ой зуб за деньги. Дело в том, что я поменяла ортодонта ( не по собственной инициативе), но всё еще нахожусь в этой же клинике. Как Вы думаете, как поступить в этом случае? И имеет ли он право брать за переклейку деньги? Читать далее »

25.06.2012 - 16:10