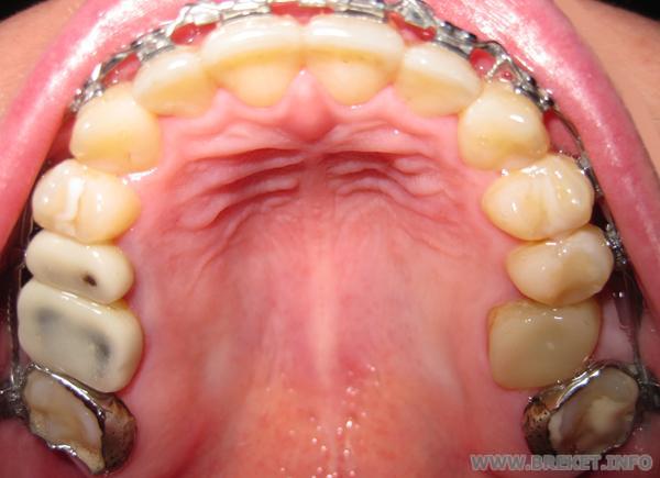
Орт не хочет двигать 6ку
Надеюсь, мне удастся по-доброму уговорить орта задвинуть этот зуб (на фото справа) в ряд, не испортив с ней отношения.
- Чтобы комментировать, войдите или зарегистрируйтесь.
Комментарии
а почему зубы слева на фотке какие-то плоские?
я тоже не могу понять орта своего, мне тоже отказывается тащить некоторые зубы наместо.
На последнем приеме кое-как уговорила... прикрепила их к дуге... где как, как смогла...
не паникуйте!
вопрос - почему он не хочет этого делать?
у меня в данный момент последний месяц ношения, нижняя семерка ушла в сторону в отличие от всего, НО! зато теперь она стоит в контакте с верхней и именно по этому она будет НЕ В РЯДУ, но в контакте!
Ну да, Ksyunya, что то типа того... Ну почему же тогда и верхни и нижний нельзя подвинуть? И оба в ряды встанут, и соприкасаться между собой будут правильно
6ка это зуб, но он почти полностью состоит из пломбы (на штифте). Он мертвый уже 12 лет и пойдет под коронку после брекетов. Два зуба с другой стороны - пластиковые коронки (временные на период бс) на серебряных вкладках. Они уже протерлись так, я брекеты на вч полтора года ношу.
Орт говорит что надо просто поставить на 6ку коронку и дело с концом.
Я так подозреваю, что если ее двигать, это возврат на несколько дуг назад, и время - она не хочет. И я вчера подумала - ведь скорее всего есть большая вероятность, что за 6кой уйдет вглубь 7ка, и 5ка может тоже, а их уже будет сложнее вытащить.
Я намерена проконсультироваться с ортопедом насчет коронки (узнать, насколько такое положение зуба критично), и, может быть, если все Ок, то и правда забить...
Skoll: почему нельзя было начать ее двигать сразу, 1,5 года назад? Уже подвинулась бы. Я заметила, наши орты любят терять время...
странно... по сравнению с 13 фоткой в альбоме http://www.breket.info/images/image9652 - эта шестерочка стоит ровно относительно зубной дуги!!!
помоему она очень даже подвинулась бы!
слушай а правда...
но может мне так сильно расширили зубной ряд именно брекетами (а 6ка осталась стоять)? тогда и с другой стороны 5 и 6 стояли бы так же - они тоже без брекетов. А может она сама внутрь ушла?? она может сама уйти?? я спрашивала вчера у ортопеда, он пошатал ее, сказал она неподвижна и не могла уйти... чертовщина какая-то. Или может еще она во время операции сдвинулась... ого надо зуб смотреть в любом случае по-скорее.
Можно вопрос, немного не в тему? ![]()
А что за железки вокруг 7ок?)
кольца =)

это у тебя зуб? не коронка? а почему орт не хочет двигать его?