нч
- Чтобы комментировать, войдите или зарегистрируйтесь.
Комментарии
Красота!
Зная её историю, можно поместить в толковый словарь рядом со статьёй о красоте, требующей жертв.
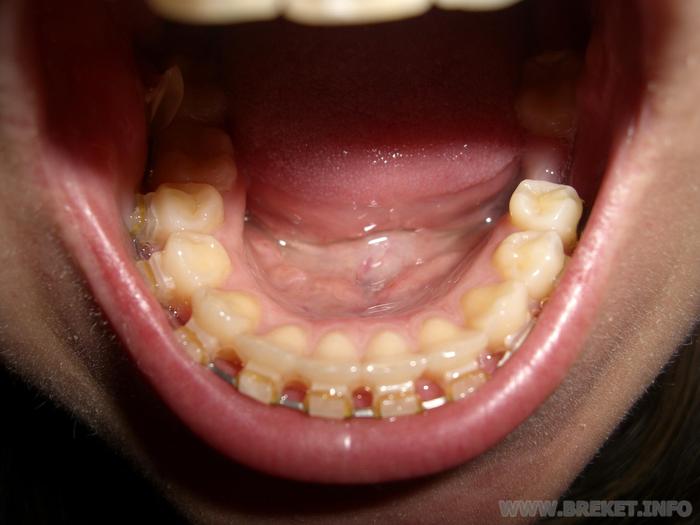
а че имплант зашит? Для след поколений что ли в заначке спрятали?
через неделю будут вытаскивать из заначки-ставить формирователь десны,а потом коронку на него одевать
судя по видео... что ты кидала.. процедура занимательная и многоступенчатая..
держи в курсе
что там и как делать будут..
ок,буду
после формирователя десны пойду сдаваться к ортопеду(эх даже боюсь представить сколько это будет стоит.я так надесь что не больше 20 тыс
blackangel99, можно вопрос?))я вот тоже собираюсь ставить имплант - 6-ку сверху...тебе имплант ставили прямо в процессе носки брекетов?когда мне орт сказала, что ставим сначала на ВЧ брекеты, чтобы не затягивать с имплантацией, я удивилась...у меня же еще наращивание костной ткани (поскольку зуб отсутствует сверху). Она утверждает, что всё в процессе носки брекетов будет делаться...я вот и сомневаюсь до сегодняшнего дня, можно ли так...
да мне делали в процессе носки.Даже на 7-ке было одето кольцо и дуга крепилась к ней,хирург каким-то акробатическим действием все равно вкрутил его.У меня тоже стоял вопрос о наращивание кости(слишком тонкая костть была там.
как я поняла если бы наращивали,то нарастили кость,потом сняли брекеты, а на 7-ке и 5-ке оставили бы 2 брекета и маленькую дугу между брекетами (чтоб не дать переместиться 7-кЕ),прошло 6ы 6 месяцев вкрутили имплант,он прижился.сняли брекеты и одели кронку.ЭТакая хема была предложена мои ортодонтом ,что б я не мучилась 6 лишних месяцев в брекетах.(ибо имплантацию я начала в конце лечения)
Просто имплантация может по разному проходить.Тоесть тебе сначала нарастят кость,она приживется (до 6 мес),потом вкрутят импланТ,он приживется(от 3-4 месяц),его раскрывают.На это все уйдет 10!!!месяцев,потом снимут брекеты и оденут коронку. Либо - наращивают кость и одновремено ставят имплант,проходит 6 месяцев,его раскрывают,снимают брекеты и ставят коронку.
Смысл состоит в том ,что коронку на имплант сразу ставят после снятия брекетов.В брекетах этого делать нельзя,но
саму имплантацию всегда проводят в брекетах.
Ябы тебе посоветывала проконсультироваться с имплантологом,какую он тебе схему имплантации предложит от этого и зависит когда проводить имплантацию в начале лечения,в середине или в конце ношения брекет -системы.Иеще лучше чтоб они работали в одной клинике(имплантолог,ортодонт и ортопед),а то я как сломанный телефон бегала от от оного к другому и каждый свое говорил.
Надеюсь не запутала тебя
как же все ровненько)))!!!
да неее, не запутала)люблю развернутые ответы
дык. Мне моя орт в принципе так и сказала, что делать наращивание костной ткани одновременно с постановкой импланта в процессе лечения. И правильно ты сказала - к снятию брекетов подготовить коронку и тут же ее установить.
Орт уже проконсультировалась с имплантологом, он просит закрыть 2 миллиметра. Будем стараться. Как только это расстояние закроется и начнут все манихации с имплантом.
Да и как ты сказала, это на самом деле хорошо, когда они работают в одной клинике. У меня именно так и есть. Чему я рада. Может, рано еще радуюсь. Но во всяком случае, как ты правильно подметила, не хочется быть сломанным телефоном и носиться по разным клиникам.
ну тогда все нормально будет у тебя)Кстати у меня на верху тоже 1 6-ка отсутствовала,лунку от неее полностью закрыли перемести на ее место 7-ку ,а на место 7-ки вылезла 8-ка)Год тащили зубы,что бы закрыть ее.Ана нч было слишком большой промежуток,что так сделать.
ого! как тебе повезло))) у меня-то с ВЧ вобще террор)))
до недавнего времени я искренне верила, что у меня не хватает одного зуба, то есть 5-ки.Я надеялась, что вылезет 8-ка и все подвинет, дырочка закроется)врачи тоже говорили)я,наивная девочка, продолжала ждать.Вскоре я поняла, что ожидания затянулись и решила ставить имплант. Не все врачи понимают, что у меня не один зуб отсутствует, а целых два(!))))сама была в шоке,когда узнала. Восьмерка вылезла давно и встала на место 7-ки, семерка на место шестерки, а зазорчик (какое там -ЗАЗОРИЩЕ-ПОЗОРИЩЕ в 1,2 см...улыбаться стыдно)так и остался...вот такая вот печальная история. И с брекетульками запарилась только ради импланта. Все имплантологи, у которых я была, хором говорили, что расстояние большое, поставить-то,конечно, поставят, но вот щель в 2 мм останется...а нафик мне щель. Раз уж начала делать, значит, надо сделать красиво.Тем более, верхняя двойка кривая, давно мечтала выправить ее...
ох, скоро выложу свою "красоту" в альбомчик....

оказывается и я могу так открывать рот))то что торчит справа от меня это дренажная трубочка,а где отсутствует зуб,там имплант зашит..Лигатуры совсем коричневые стали,вот что значит 3 месяца их не менять(((