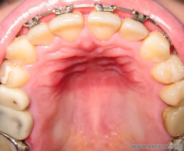
След от аппарата на нёбе
Даже сразу от счастья не заметила, он немного омрачает картину, потому как побаливает) Не знаю точно, что это, синяк может, или натертость аппаратом, или натертость от еды нежной слизистой, которая 10 мес была под пластмассой. Но я мажу витаоном, так что скоро пройдет)))
- Чтобы комментировать, войдите или зарегистрируйтесь.

Слушай, как здорово, что сняли! )
Подравляю)
А пятно пройдет)