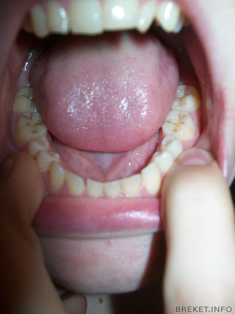
Установила) наконец) 
Пара фото на память)
Орт у меня женщина серьезная, ласково не называет, как некоторых)) но дело своё сделала аккуратно)
Не скажу, что есть какой-то дискомфорт...чувство, что уже с ними ходила. Чувствую, само собой, действие дуги) Единственное - из-за того, что много сегодня улыбалась - щеку натерла замком на семерке
Хоть я и не уверена пока в своей красоте в бс, но ничего не поделаешь - это надолго) Читать далее »