Дневники

Меня одну это бесит?:))))

На днях смотрела сериал "Дурнушка", я его обожаю:) от части потому, что главная героиня носит брекеты
Но! Каким-то чудесным образом ее брекеты зацепились к лифу,который расшит камнями. Конечно же вдруг из неоткуда (Бетти была на выставке) взялась ортодонт и сказала, что отцепиться от него и не испортив лиф, можно только сняв брекеты.....и тут начинается какая-то фигня.......
Видимо орт постоянно носит с собой щипцы, так, на всякий пожарный:) И вот, орт берет и откусывает брекет, показывают какие-то скрученные проволочки...разве ее ломают во время снятия? Читать далее »

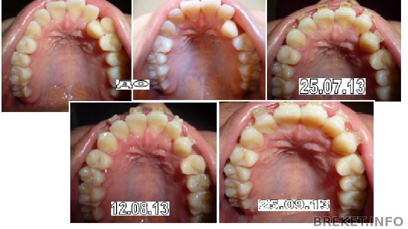
25.09.2013 - 16:08

Что делать если я не согласна с ортодонтом??

У меня стоят БС до 6-ок (и на ВЧ, и на НЧ). Верхние зубки уже очень хорошо подровнялись, стоят идеальным полукругом. Но 7-ки на которых нет БС по-прежнему торчат в сторону щек. Моя орт сегодня сказала, что проблема есть только с одной стороны (там действительно торчит сильнее), а с другой прикус идеальный. Я же вижу (и не только я), что 7-ка справа тоже явно выпирает к щеке, стоит вообще неровно, и когда я смыкаю челюсти - она явно "нависает" над нижней семеркой. Что делать и вообще как сказать орту, чтобы она занялась и правой стороной тоже? Читать далее »

: )

damon-clear.jpg

У меня вот такие вот брекеты. Слышала,что есть резиночки разные белые, цветные веселые) На нижнюю хочу тоже. Вы где их покупаете? В аптеках бывают?

25.09.2013 - 15:22

А что, всем ставят надкусочные пломбы???

.. при фиксации БС на НЧ???? этого я совсем не жду

25.09.2013 - 13:27

у меня сегодня ДР))

Здравствуйте, ребята!завтра состоится мой "день Х". завтра будем устанавливать БС. начинается мандраж, хотя до этого была позитивно настроенна. очень хочется поддержки от более опытных собратьев))). ну, и задать несколько вопросов, потому что слишком оптимистичный настрой моего ортодонта как - то настораживает.... Врач говорит, что мы обойдемся без удалений и срок ношения БС составит около года. Правда ли реально так быстро привести зубы в порядок, в 27 лет то? или он просто не хочет меня расстраивать? так же хочется узнать у Вас как часто придется посещать стоматологию?

25.09.2013 - 12:37

7,5 месяцев спустя.... Мои брекетульки Clarity SL

Полгода с моего последнего поста пролетели незаметно
К своим брекетикам ооочень привыкла и так их полюбила за прекрасные изменения Даже не смотря на минус 4 зубика..
Вот такой у меня прогресс... Как вам?)))

image_1.jpg

Дугу пока поменяли только 1 раз, на прошлой неделе должны были менять, но 1-ка не встала на место, еще немного развернута, поэтому мне на мои SL накрутили резиночки и сказали с ними отходить месяцок и потом на новую дугу идти!!! Читать далее »

25.09.2013 - 12:22

Продолжение.

Суровые будни. Часть вторая. Экономическая (скучная и без картинок).

Действующие лица:
Ортофея вторая, размышления, правда жизни.

Зубы стоят дорого. Даж не не так… Красивые зубы стоят дорого. Эту неоценимую истину (она же правда жизни) мы с моими зубищами (зу-у-у-убками) прочувствовали от первой и до последней буковки. Копить надо было начинать во младенчестве. Или даже до. Чтоб уж наверняка. Читать далее »

25.09.2013 - 12:04

За-ши-бись

Вот и настала та ужасающая среда! Да. На уроки я пришла значит, и сразу же меня назвали Лошарой. Ну и ладно. Лах, значит лах. Провела в кресле около получаса. Делал мужик:) Звали Валентин Андреевич. Оу, он такой миилый)) Вооот. Пофоткали меня, потом почистили зубы, какой-то хренью кислой намазали, потом горькой, затем начали наклеивать брекеты. На седьмых зубах брекеты без дуги. До сих пор не поняла зачем. Пружина стоит на 4ом и 2ом зубе. Чтобы оттянуть их, и чтоб этот клычара влез. Окок. При разговоре все трет! пружина трет, все трет! Сейчас твою мать мне этот конец дуги царапает щеку. Читать далее »

25.09.2013 - 10:58

Ощущения при установки БС

Поняла что пришла на этот сайт после снятия брекетов, и как-то осталась тут и поэтому вернусь в те далёкие времена когда только поставила БС какие же были ощущения:
1 Когда наклеивали брекеты больно не было совершенно, дискомфорт был лишь от того что долго сидела с открытым ртом.
2. Непривычно очень... сильное слюноотделение потому что металл или керамика это не важно инородное тело во рту всегда вызывает такой процесс
3. Боль естественна она была после установки. Читать далее »

24.09.2013 - 22:22

Весёлый поход к ортофею моему))

Ну вот, сегодня был назначен день моей первой смены дуги на ВЧ (прошел месяц всего лишь), и установка брекетов на низ, но не тут то было! Сразу поняла, что надвигается "весёлое мероприятие" по коварному взгляду моего ортофея))))) Устанавливали сепараторы, ёпти..ТОчнее, кольца металлические, жуть одна! Читать далее »

24.09.2013 - 22:09