Дневники

Нежданчик

Мне во вторник должны были поставить брекеты, я очень боялась этого дня, и вот сёдня звонят из клиники и говорят, что установку переносят на среду, так я даже расстроилась. Я даже поняла, что не боюсь брекетов, а даже жду)

23.09.2013 - 15:29

Начало пути.

18.09.2013 установили ВЧ. Пугали тем, что будет болеть сильно, но нет...боли практически не ощущаю, да и не натирают мне они совсем. Так что ура-ура-ура)

novyy_kollazh.jpg

23.09.2013 - 15:17

вы умеете улыбаться?

Оказывается я не умею(улыбаться, показывая зубы.),я никогда это не делала и при мысли оголить зубы у меня просто страх наступает...от этого аж лицо косится... У кого то такое было? Как себя перебороть...ума не приложу.

23.09.2013 - 13:13

Год здоровья

Всем привет) Не знаю, звезды ли так легли или просто так должно было случиться, но на пути к Голливуду решила я заняться собой полноценно. На отметке ношения брекетов в 3 месяца 13 дней я решилась на операцию по коррекции зрения. Сказано - сделано) Если честно, это конечно, не было целью всей жизни, но раз появилась такая возможность, то почему бы ей не воспользоваться) Читать далее »

23.09.2013 - 10:48

Вот и смерть моя пришла. Тихо и незаметно

Всем привет. Я хочу поставить брекеты. Ну, точнее, мне их хотят поставить уже в среду. У меня верхний левый клык очень высоко поднят. А правый клык находится, ну, не далеко от остальных зубов. Думала, что будут удалять четверки. Уже настроилась, попыталась пошатать, а они блин говорят, что можно и без удаления. Ну-ну!! Там видно, что места мало. Ок, хорошо. Мама сказала, что перед смертью не надышишься. Пойду яблоки жрамкать, и жвачку жевать, пока не поздно. Ждем среду:)

img_20130923_154012.jpg

23.09.2013 - 10:46

Выскочила дуга(

Ну вот и поела роллов(((Дуга на выскочила из последнего брекета, колет щуку,в обще, я в расстроенных чувствах( Буду записываться к орту на прием.

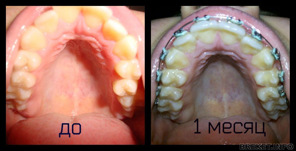
Вот и месяц!

таких больших продвижения я не вижу, но все же

novyy_kollazh_zuby_verpily.jpg

23.09.2013 - 08:53

Нет скобок(

Привет всем,коллеги по несчатью.Новый форумчанин тут появился)В общем моя проблема видна сразу.Все зубы ровные ,белые(просто сейчас яблоки ем) ,но одна большущая пролема-расстояние между однёрками.К тому же левая однёрка немного смещена вперёд одной стороной и длиннее.Из-за этого портится вся моя улыбка(Всегда стеснялся улыбаться. Читать далее »

23.09.2013 - 00:55

двигаются урааа

Хотела показать вам результат 25 дней. Воооооттт что у меняя. Хоть и между единичками кариес, и они не ровные,и много работы с ними еще,но главное они ж двигаются к назначенной цели

img_0594.jpg
25-ый день после установки

22.09.2013 - 23:15

нужна помощь...

Блин ребят такая проблемка маленькая.может у кого было. Прошло уже 25 дней с установки бс.первые пару дней болело потом норм.потом совсем привыкла и не ощущала. Но... вчера чуть болели однерки,а сегодня начали болеть почти также,как в первые дни. Только однерки. Я вижу результат только на однерках,они раздвигаются. Может боли с этим и связаны?? Но почему до сих пор не болело а сейчас вдруг начало. Может я чем-то виновата?

22.09.2013 - 22:57