Хээй, всем привет
как -то у меня застопорилось все , изменений нет уже почти три месяца

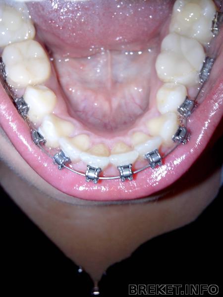
на первом фото - 5 месяцев
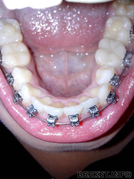
на втором - на втором 7 месяцев 23 дня

правая двойка и клык опускаться на уровень остальных зубов по-моему даже и не собирается
И вообще мне как-то все не нравится , может потому что изменений нет ...
Но хотя смотря на это зубов ,там где я носила брекеты всего два месяца , настроение поднимается ) Читать далее »